Formulation Supplied at 0.5 mg/ml in Tris saline, 0.02% sodium azide, pH7.3 with 0.5% bovine serum albumin.
| |
Unit Size 100 µg | |
Storage Instructions Aliquot and store at -20°C. Minimize freezing and thawing. | |
Synonym / Alias Names protein phosphatase 1 regulatory subunit 8|protein phosphatase 1 regulatory inhibitor subunit 8|RNase E|ARD-1|protein phosphatase-1, regulatory subunit-8|nuclear inhibitor of protein phosphatase-1|homolog of E.coli RNase E|nuclear subunit of PP-1|activator of RNA decay|ard-1|PRO2047|NIPP-1|ARD1|protein phosphatase 1, regulatory (inhibitor) subunit 8|NIPP1|PPP1R8 | |
Usage Summary Additional validation: This antibody has been successfully used in the following paper: Sikorski et al. (2018) PMID: 30377371. | |
Accession ID NP_002704.1; NP_054829.2; NP_612568.1 | |
Blocking Peptide EBP06037 | |
Immunogen Peptide with sequence C-EAWPGKKPTPSLLI, from the C Terminus of the protein sequence according to NP_002704.1; NP_054829.2; NP_612568.1. | |
Product Comments This antibody is expected to recognise all three human isoforms of this protein. | |
Peptide Sequence C-EAWPGKKPTPSLLI | |
Purification Method Purified from goat serum by ammonium sulphate precipitation followed by antigen affinity chromatography using the immunizing peptide. | |
Shipping Instructions Refrigerated | |
Predicted Species Human, Mouse, Dog, Cow | |
Reactive Species Human, Mouse | |
Human Gene ID 5511 | |
Mouse Gene ID 100336 | |
Product Grade ![]() | |
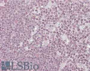
IHC Results In paraffin embedded Human Thymus shows speckled staining of nuclei. Recommended concentration: 2.5-3.8µg/ml. | |
ELISA Detection Limit Antibody detection limit dilution 1:32000. | |
Western Blot Approx 40kDa band observed in nuclear lysates of cell lines HeLa, HepG2, Jurkat and NIH3T3 (calculated MW of 38.5kDa according to Human NP_054829.2 and to Mouse NP_666266.1). Recommended concentration: 0.3-1µg/ml. Primary incubation was 1 hour. Preliminary testing was unsuccessful on Rat Lung for this particular batch. | |
Application Type Pep-ELISA, WB, IHC |
Goat Anti-NIPP1 / PPP1R8 Antibody
$431.00
| SKU | Unit Size | Price |
|---|---|---|
Select a unit size:
Selected References [{"pmid": 30377371, "intro": "This antibody has been successfully used in the following paper:", "title": "A high-throughput pipeline for validation of antibodies", "author": "Krzysztof Sikorski, Adi Mehta, Marit Inngjerdingen, Flourina Thakor, Simon Kling, Tomas Kalina, Tuula A. Nyman, Maria Ekman Stensland, Wei Zhou, Gustavo A. De Souza, Lars Holden, Jan Stuchly, Markus Templin and Fridtjof Lund-Johansen", "journal": "Nat Methods. 2018 Nov;15(11):909-912"}] |
Documents |


