Formulation Supplied at 0.5 mg/ml in Tris saline, 0.02% sodium azide, pH7.3 with 0.5% bovine serum albumin.
| |
Unit Size 100 µg | |
Storage Instructions Aliquot and store at -20°C. Minimize freezing and thawing. | |
Synonym / Alias Names ||HTX5|nodal growth differentiation factor|NODAL | |
Accession ID NP_060525.2 | |
Blocking Peptide EBP08091 | |
Immunogen Peptide with sequence DRSQLCRKVKFQ, from the internal region of the protein sequence according to NP_060525.2. | |
Peptide Sequence DRSQLCRKVKFQ | |
Purification Method Purified from goat serum by ammonium sulphate precipitation followed by antigen affinity chromatography using the immunizing peptide. | |
Shipping Instructions Refrigerated | |
Predicted Species Human, Mouse, Rat | |
Reactive Species Human, Rat | |
Human Gene ID 4838 | |
Product Grade ![]() | |
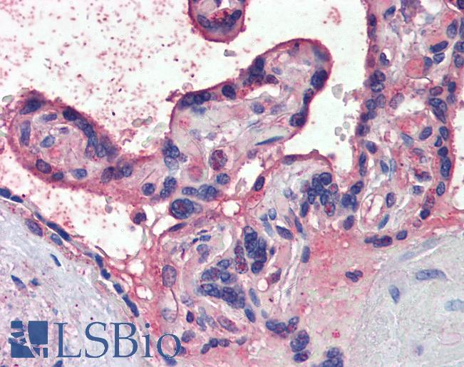
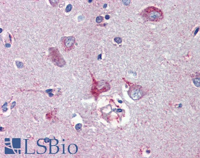
IHC Results Paraffin embedded Human Placenta and Brain (Cortex). Recommended concentration: 3.75µg/ml. | |
ELISA Detection Limit Antibody detection limit dilution 1:64000. | |
Western Blot Approx 40kDa band observed in Rat Brain lysates (calculated MW of 40.5kDa according to NP_001099864.1 ). Recommended concentration: 0.01-0.1µg/ml. Primary incubation was 1 hour. Preliminary testing was unsuccessful on Mouse Brain for this particular batch. | |
Application Type Pep-ELISA, WB, IHC |
Goat Anti-NODAL Antibody
$431.00
| SKU | Unit Size | Price |
|---|---|---|
Select a unit size:
Documents |



