Formulation Supplied at 0.5 mg/ml in Tris saline, 0.02% sodium azide, pH7.3 with 0.5% bovine serum albumin.
| |
Unit Size 100 µg | |
Storage Instructions Aliquot and store at -20°C. Minimize freezing and thawing. | |
Synonym / Alias Names reticulon 5|neuroendocrine-specific protein C homolog|neurite outgrowth inhibitor|neurite growth inhibitor 220|foocen|My043 protein|Human NogoA|RTN4-C|RTN4-B2|RTN4-B1|RTN4-A|RTN-X|Nogo-C|Nogo-B|Nbla10545|Nbla00271|NSP-CL|NSP|NOGOC|NOGO-A|NOGO|NI220/250|ASY|reticulon 4|RTN4 | |
Accession ID NP_065393.1; NP_997404.1 | |
Blocking Peptide EBP09162 | |
Immunogen Peptide with sequence C-KAQIVTEKNTSTKTS, from the internal region of the protein sequence according to NP_065393.1; NP_997404.1. | |
Product Comments This antibody is expected to recognize reported isoform A (NP_065393.1) and isoform E (NP_997404.1). | |
Peptide Sequence C-KAQIVTEKNTSTKTS | |
Purification Method Purified from goat serum by ammonium sulphate precipitation followed by antigen affinity chromatography using the immunizing peptide. | |
Shipping Instructions Refrigerated | |
Predicted Species Human | |
Reactive Species Human | |
Human Gene ID 57142 | |
Product Grade ![]() | |
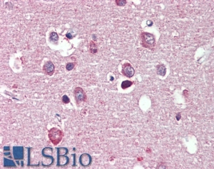
IHC Results In paraffin embedded Human Cortex shows cytoplasm staining in neuronal cell bodies and in axons. Paraffin embedded Human Testis. Recommended concentration: 2.5µg/ml. | |
ELISA Detection Limit Antibody detection limit dilution 1:128000. | |
Application Type Pep-ELISA, IHC |
Goat Anti-NOGO-A / Reticulon 4 Antibody
$431.00
| SKU | Unit Size | Price |
|---|---|---|
Select a unit size:
Documents |


