Formulation Supplied at 0.5 mg/ml in Tris saline, 0.02% sodium azide, pH7.3 with 0.5% bovine serum albumin.
| |
Unit Size 100 µg | |
Storage Instructions Aliquot and store at -20°C. Minimize freezing and thawing. | |
Synonym / Alias Names NPR3| OTTHUMP00000220980| OTTHUMP00000197048| NPR-C| NPRC| natriuretic peptide receptor C/guanylate cyclase C (atrionatriuretic peptide receptor C)| GUCY2B| atrial natriuretic peptide receptor type C| atrial natriuretic peptide receptor 3| atrial natriuretic peptide clearance receptor| ANPR-C| ANPRC| ANP-C | |
Accession ID NP_000899.1 | |
Blocking Peptide EBP11190 | |
Immunogen Peptide with sequence C-HRELREDSIRSHFS, from the C Terminus of the protein sequence according to NP_000899.1. | |
Product Comments The immunizing peptide represents the cytoplasmic part of the protein. | |
Peptide Sequence C-HRELREDSIRSHFS | |
Purification Method Purified from goat serum by ammonium sulphate precipitation followed by antigen affinity chromatography using the immunizing peptide. | |
Shipping Instructions Refrigerated | |
Predicted Species Human, Mouse, Rat, Dog, Pig, Cow | |
Reactive Species Human | |
Human Gene ID 4883 | |
Mouse Gene ID 18162 | |
Rat Gene ID 25339 | |
Product Grade ![]() | |
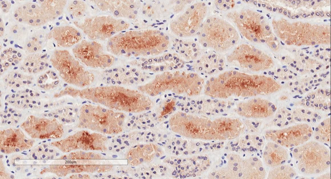
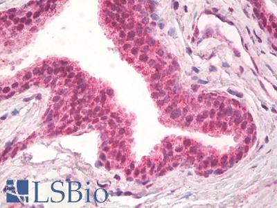
IHC Results In paraffin embedded Human Kidney shows staining of brush borders in select PCT. Recommended concentration: 2-4µg/ml. Paraffin embedded Human Prostate. Recommended concentration: 10µg/ml. | |
ELISA Detection Limit Antibody detection limit dilution 1:16000. | |
Western Blot Approx 52kDa band observed in Human Placenta lysates (calculated MW of 59.8kDa according to NP_000899.1). Recommended concentration: 1-3µg/ml. | |
Application Type Pep-ELISA, WB, IHC |
Goat Anti-NPR3 (aa520-533) Antibody
$431.00
| SKU | Unit Size | Price |
|---|---|---|
Select a unit size:
Documents |




