Formulation Supplied at 0.5 mg/ml in Tris saline, 0.02% sodium azide, pH7.3 with 0.5% bovine serum albumin.
| |
Unit Size 100 µg | |
Storage Instructions Aliquot and store at -20°C. Minimize freezing and thawing. | |
Synonym / Alias Names uridinediphospho-N-acetylglucosamine:polypeptide beta-N-acetylglucosaminyl transferase|O-GlcNAc transferase p110 subunit O-linked GlcNAc transferase|O-GLCNAC|MGC22921|HRNT1|FLJ23071|O-linked N-acetylglucosamine (GlcNAc) transferase (UDP-N-acetylglucosamine:polypeptide-N-acetylglucosaminyl transferase)|OGT | |
Usage Summary Immunofluorescence: Strong expression of the protein seen in the nucleus of HeLa, U2OS and Glioblastoma U251 cells. Recommended concentration: 10µg/ml.
Flow Cytometry: Flow cytometric analysis of HEK293 cells. Recommended concentration: 10ug/ml. | |
Accession ID NP_858058.1; NP_858059.1 | |
Blocking Peptide EBP07626 | |
Immunogen Peptide with sequence C-YEHPKDLKLSDGR, from the internal region of the protein sequence according to NP_858058.1; NP_858059.1. | |
Product Comments This antibody is expected to recognise both reported isoforms (NP_858058.1 and NP_858059.1 | |
Peptide Sequence C-YEHPKDLKLSDGR | |
Purification Method Purified from goat serum by ammonium sulphate precipitation followed by antigen affinity chromatography using the immunizing peptide. | |
Shipping Instructions Refrigerated | |
Predicted Species Human, Mouse, Rat, Dog, Cow | |
Reactive Species Human, Rat | |
Human Gene ID 8473 | |
Mouse Gene ID 108155 | |
Rat Gene ID 26295 | |
Product Grade ![]() | |
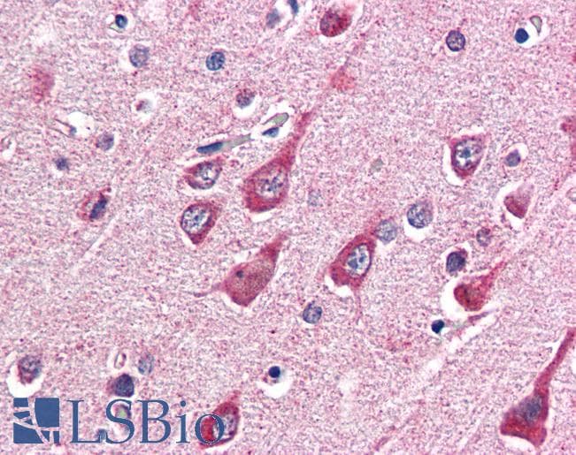
IHC Results Paraffin embedded Human Brain (Cortex). Recommended concentration: 5µg/ml. | |
ELISA Detection Limit Antibody detection limit dilution 1:64000. | |
Western Blot Approx 110kDa band observed in Rat Pancreas lysates calculated MW of 116kDa according to NP_858058.2). An additional band of unknown identity was also consistently observed at 60kDa. This band was successfully blocked by incubation with the immunising peptide. Recommended concentration: 0.05-0.2µg/ml. Primary incubation 1 hour at room temperature. Preliminary testing was unsuccessful on Mouse Brain for this particular batch. | |
Application Type Pep-ELISA, WB, IHC, IF, FC |
Goat Anti-OGT Antibody
$431.00
| SKU | Unit Size | Price |
|---|---|---|
Select a unit size:
Documents |






