Formulation Supplied at 0.5 mg/ml in Tris saline, 0.02% sodium azide, pH7.3 with 0.5% bovine serum albumin.
| |
Unit Size 100 µg | |
Storage Instructions Aliquot and store at -20°C. Minimize freezing and thawing. | |
Synonym / Alias Names origin recognition complex, subunit 3|RP3-486L4.1|homolog of latheo, Drosophila|OTTHUMP00000040611|origin recognition complex, subunit 3 (yeast homolog)-like|IMAGE50150|LATHEO|ORC3|LAT|origin recognition complex, subunit 3-like (yeast)|ORC3L | |
Accession ID NP_862820.1; NP_036513.2; NP_001184188.1 | |
Blocking Peptide EBP05064 | |
Immunogen Peptide with sequence QKTDHVARLTWGGC, from the C Terminus of the protein sequence according to NP_862820.1; NP_036513.2; NP_001184188.1. | |
Product Comments This antibody is expected to recognize reported isoforms NP_862820.1, NP_036513.2 and NP_001184188.1. | |
Peptide Sequence QKTDHVARLTWGGC | |
Purification Method Purified from goat serum by ammonium sulphate precipitation followed by antigen affinity chromatography using the immunizing peptide. | |
Shipping Instructions Refrigerated | |
Predicted Species Human, Mouse, Rat, Dog, Cow | |
Reactive Species Human | |
Human Gene ID 23595 | |
Product Grade ![]() | |
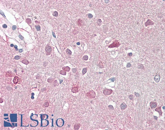
IHC Results Paraffin embedded Human Brain (Cortex). Recommended concentration: 3.75µg/ml. | |
ELISA Detection Limit Antibody detection limit dilution 1:32000. | |
Western Blot Approx 75kDa band observed in lysates of cell lines HepG2 and HeLa (calculated MW of 82.3kDa according to NP_862820.1 and NP_036513.2). Recommended concentration: 1-3µg/ml.
An additional band of unknown identity was also consistently observed at 35kDa. This band was successfully blocked by incubation with the immunising peptide. | |
Application Type Pep-ELISA, WB, IHC |
Goat Anti-ORC3L Antibody
$431.00
| SKU | Unit Size | Price |
|---|---|---|
Select a unit size:
Documents |


