Formulation Supplied at 0.5 mg/ml in Tris saline, 0.02% sodium azide, pH7.3 with 0.5% bovine serum albumin.
| |
Unit Size 100 µg | |
Storage Instructions Aliquot and store at -20°C. Minimize freezing and thawing. | |
Synonym / Alias Names oxysterol-binding protein-like 1A|ORP-1|oxysterol-binding protein-related protein 1|oxysterol-binding protein-like 1B|OSBP-related protein 1|oxysterol binding protein-like 1A|FLJ10217|OSBPL1B|ORP1|OSBPL1A | |
Accession ID NP_060500.3; NP_542164.2 | |
Blocking Peptide EBP06151 | |
Immunogen Peptide with sequence C-YWDRNYFNLPDIY, from the C Terminus of the protein sequence according to NP_060500.3; NP_542164.2. | |
Product Comments This antibody is expected to recognise both reported human isoforms of this protein. | |
Peptide Sequence C-YWDRNYFNLPDIY | |
Purification Method Purified from goat serum by ammonium sulphate precipitation followed by antigen affinity chromatography using the immunizing peptide. | |
Shipping Instructions Refrigerated | |
Predicted Species Human, Mouse, Rat, Dog, Cow | |
Reactive Species Human | |
Human Gene ID 114876 | |
Mouse Gene ID 64291 | |
Rat Gene ID 259221 | |
Product Grade ![]() | |
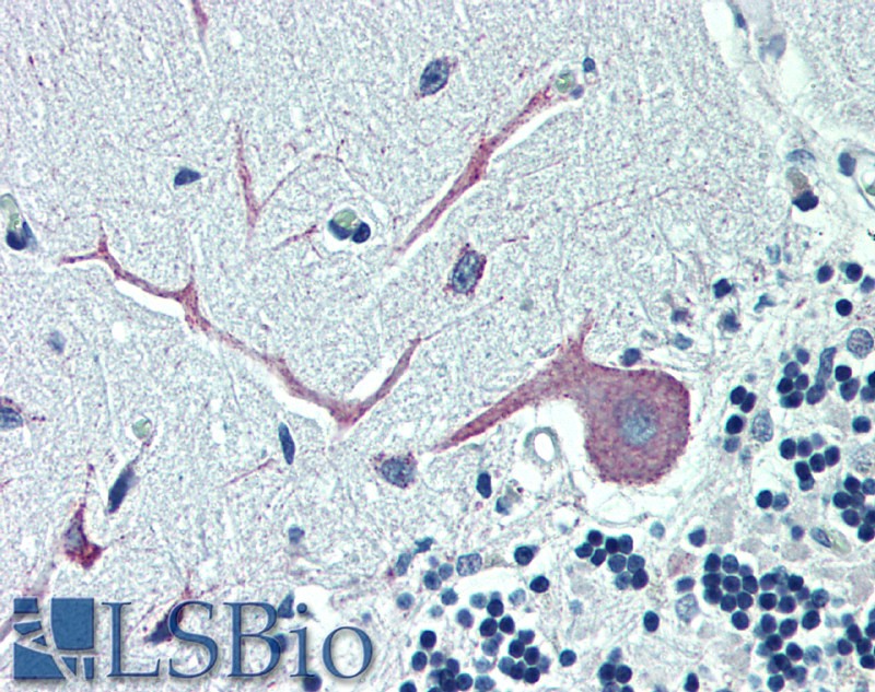
IHC Results Paraffin embedded Human Brain (Cerebellum) and Human Skeletal Muscle. Recommended concentration: 5µg/ml. | |
ELISA Detection Limit Antibody detection limit dilution 1:16000. | |
Western Blot Approx 48kDa band observed in Human Muscle lysate (predicted MW of 50kDa according to NP_060500.3). Recommended for use at 0.5-2µg/ml. | |
Application Type Pep-ELISA, WB, IHC |
Goat Anti-ORP1 Antibody
$431.00
| SKU | Unit Size | Price |
|---|---|---|
Select a unit size:
Documents |



