Formulation Supplied at 0.5 mg/ml in Tris saline, 0.02% sodium azide, pH7.3 with 0.5% bovine serum albumin.
| |
Unit Size 100 µg | |
Storage Instructions Aliquot and store at -20°C. Minimize freezing and thawing. | |
Accession ID NP_000907.2 | |
Blocking Peptide EBP13096 | |
Immunogen Peptide with sequence ANAPKEASAFIIVC, from the internal region of the protein sequence according to NP_000907.2. | |
Peptide Sequence ANAPKEASAFIIVC | |
Purification Method Purified from goat serum by ammonium sulphate precipitation followed by antigen affinity chromatography using the immunizing peptide. | |
Shipping Instructions Refrigerated | |
Predicted Species Human | |
Reactive Species Human | |
Human Gene ID 5021 | |
Product Grade ![]() | |
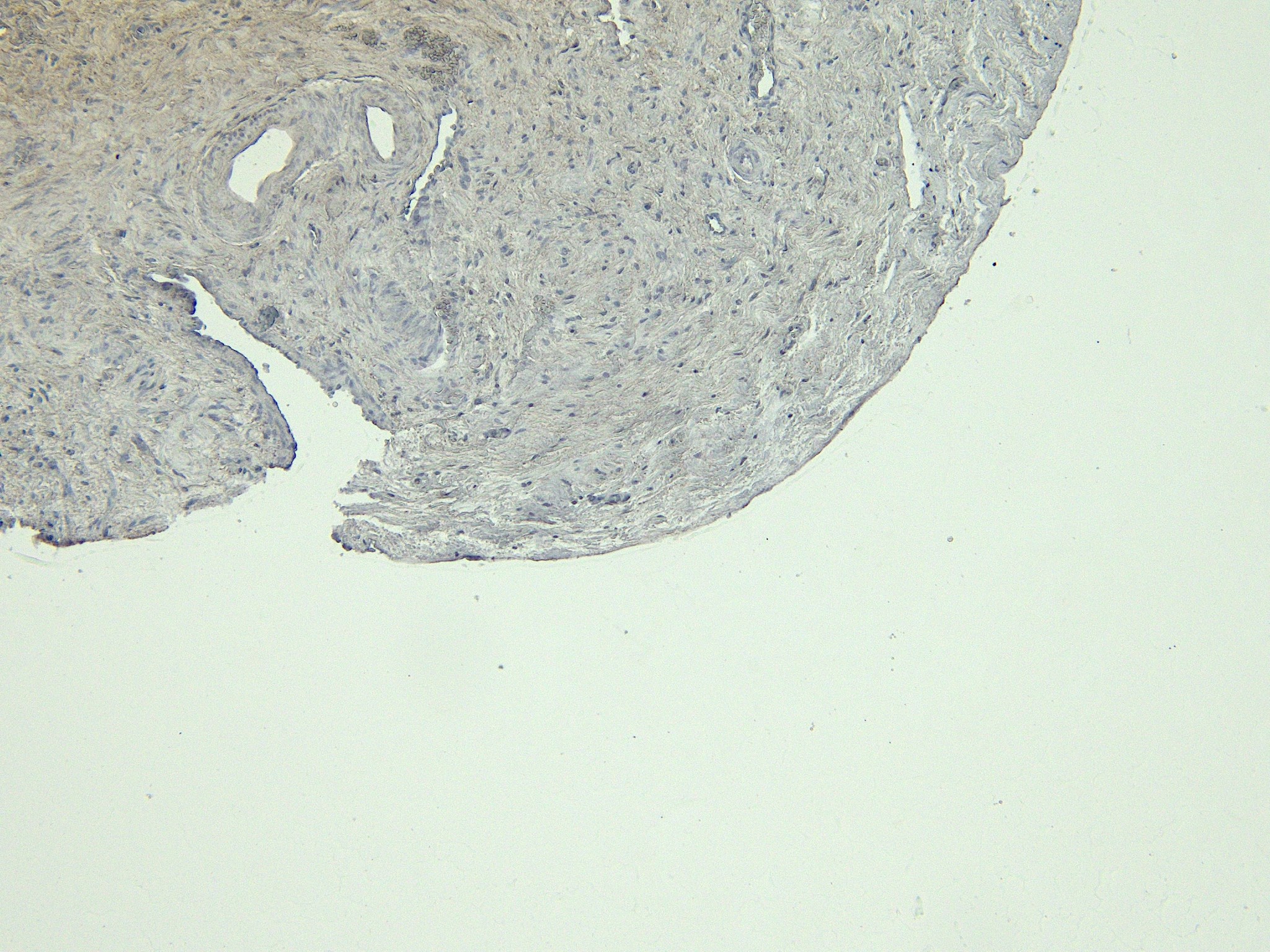
IHC Results Paraffin embedded Human Ovary. Recommended concentration: 4-6µg/ml. Some positive staining of stromal cells was also seen in paraffin embedded Human Prostate. | |
ELISA Detection Limit Antibody detection limit dilution 1:16000. | |
Western Blot Approx 50kDa band observed in Human Ovary lysate and in preliminary testing of Human Uterus lysate (calculated MW of 42.8kDa according to Human NP_000907.2). This molecular weight is observed by other sources and was successfully blocked by incubation with the immunising peptide. Recommended concentration: 1-3ug/ml. Primary incubation 1 hour at room temperature. | |
Application Type Pep-ELISA, WB, IHC |
Goat Anti-Oxytocin Receptor Antibody
$431.00
| SKU | Unit Size | Price |
|---|---|---|
Select a unit size:



