Formulation Supplied at 0.5 mg/ml in Tris saline, 0.02% sodium azide, pH7.3 with 0.5% bovine serum albumin.
| |
Unit Size 100 µg | |
Storage Instructions Aliquot and store at -20°C. Minimize freezing and thawing. | |
Synonym / Alias Names PALS2|protein associated with Lin7 2|VELI-associated MAGUK 1|MAGUK protein p55T|membrane protein, palmitoylated 6 (MAGUK p55 subfamily member 6)|VAM-1|p55T|VAM1|MPP6 | |
Accession ID NP_057531.2 | |
Blocking Peptide EBP06226 | |
Immunogen Peptide with sequence QQVLENLTELPSS-C, from the N Terminus of the protein sequence according to NP_057531.2. | |
Peptide Sequence QQVLENLTELPSS-C | |
Purification Method Purified from goat serum by ammonium sulphate precipitation followed by antigen affinity chromatography using the immunizing peptide. | |
Shipping Instructions Refrigerated | |
Predicted Species Human, Mouse, Rat, Dog, Pig, Cow | |
Reactive Species Human | |
Human Gene ID 51678 | |
Mouse Gene ID 56524 | |
Product Grade ![]() | |
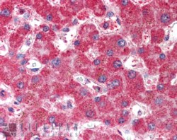
IHC Results Paraffin embedded Human Liver. Recommended concentration: 5µg/ml. | |
ELISA Detection Limit Antibody detection limit dilution 1:128000. | |
Western Blot Approx 60kDa band observed in lysates of cell line HEK293 (calculated MW of 61.1kDa according to NP_057531.2). Recommended concentration: 0.3-1µg/ml. Primary incubated was for 1 hour. An additional band of unknown identity was also consistently observed at 28kDa. This band was successfully blocked by incubation with the immunising peptide. | |
Application Type Pep-ELISA, WB, IHC |
Goat Anti-PALS2 / VAM1 / MPP6 Antibody
$431.00
| SKU | Unit Size | Price |
|---|---|---|
Select a unit size:
Documents |


