Formulation Supplied at 0.5 mg/ml in Tris saline, 0.02% sodium azide, pH7.3 with 0.5% bovine serum albumin.
| |
Unit Size 100 µg | |
Storage Instructions Aliquot and store at -20°C. Minimize freezing and thawing. | |
Synonym / Alias Names pancreatic polypeptide Y|PNP|HGNC:9327|pancreatic polypeptide|PPY | |
Usage Summary Immunofluorescence: This antibody has been successfully used in IF on Human, PMID: 27300574 and 30687234, and on Rat, PMID: 27472443.
Flow Cytometry: Flow cytometric analysis of U2OS cells. Recommended concentration: 10ug/ml. | |
Accession ID NP_002713.1; NP_001306138.1 | |
Blocking Peptide EBP06805 | |
Immunogen Peptide with sequence C-TRPRYGKRHKEDT, from the internal region of the protein sequence according to NP_002713.1; NP_001306138.1. | |
Peptide Sequence C-TRPRYGKRHKEDT | |
Purification Method Purified from goat serum by ammonium sulphate precipitation followed by antigen affinity chromatography using the immunizing peptide. | |
Shipping Instructions Refrigerated | |
Predicted Species Human, Mouse, Rat, Dog | |
Reactive Species Human, Rat | |
Human Gene ID 5539 | |
Product Grade ![]() | |
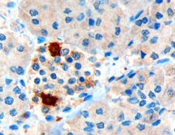
IHC Results In paraffin embedded Human Pancreas, shows strong cytoplasmic staining of rare cells located at the periphery of islets of Langerhans. Recommended concentration: 3µg/ml. Paraffin embedded Human Pancreas and Intestine. Recommended concentration: 5µg/ml. This antibody has been successfully used in IHC on Human, PMID: 26700560. | |
ELISA Detection Limit Antibody detection limit dilution 1:32000. | |
Western Blot This antibody has been successfully used in WB on Human, PMID: 25445712. | |
Application Type Pep-ELISA, WB, IF, IHC, FC |
Goat Anti-Pancreatic Polypeptide / PPY Antibody
$431.00
| SKU | Unit Size | Price |
|---|---|---|
Select a unit size:
Selected References [{"pmid": 27472443, "intro": "This antibody has been successfully used in IF on Rat:", "title": "Increased Frequency of Hormone Negative \r\nand Polyhormonal Endocrine Cells in Lean\r\nIndividuals With Type 2 Diabetes.", "author": "Md Moin AS, Dhawan S, Cory M, Butler PC, Rizza RA, Butler AE.", "journal": "J Clin Endocrinol Metab. 2016 Oct;101(10)"}, {"pmid": 27300574, "intro": "This antibody has been successfully used in IF on Human:", "title": "Increased Hormone-Negative Endocrine Cells in the Pancreas in Type 1 Diabetes.", "author": "Md Moin AS, Dhawan S, Shieh C, Butler PC, Cory M, Butler AE", "journal": "J Clin Endocrinol Metab. 2016 Sep;101(9):3487-96."}, {"pmid": 30687234, "intro": "This antibody has been successfully used in IF on Human:", "title": "Characterization of Non-hormone Expressing Endocrine Cells in Fetal and Infant Human Pancreas", "author": "Abu Saleh Md Moin, Chiara Montemurro, Kylie Zeng, Megan Cory, Megan Nguyen, Shweta Kulkarni, Helga Fritsch, Juris J. Meier, Sangeeta Dhawan, Robert A. Rizza, Mark A. Atkinson and Alexandra E. Butler", "journal": "Front. Endocrinol., 09 January 2019 | https://doi.org/10.3389/fendo.2018.00791"}, {"pmid": 26700560, "intro": "This antibody has been successfully used in IHC on Human:", "title": "?-Cell Deficit in Obese Type 2 Diabetes, a Minor Role of ?-Cell Dedifferentiation and Degranulation.", "author": "Butler AE, Dhawan S, Hoang J, Cory M, Zeng K, Fritsch H, Meier JJ, Rizza RA, Butler PC.", "journal": "J Clin Endocrinol Metab. 2016 Feb;101(2):523-32."}, {"pmid": 25445712, "intro": "This antibody has been successfully used in Western blot on Human:", "title": "Pancreatic polypeptide regulates glucagon release through PPYR1 receptors expressed in mouse and human alpha-cells.", "author": "F. Aragón, M. Karaca, A. Novials, R.Maldonadoa, P. Maechler, and B. Rubí.", "journal": "Biochim Biophys Acta. 2015 Feb;1850(2):343-51."}, {"pmid": 30842364, "intro": "This antibody has been successfully used in the following paper:", "title": "Development of monoclonal mouse antibodies that speci€cally recognize pancreatic polypeptide", "author": "Hara A, Nakagawa Y, Nakao K, Tamaki M, Ikemoto T, Shimada M, Matsuhisa M, Mizukami H, Maruyama N, Watada H, Fujitani Y", "journal": "Endocr J. 2019 Mar 6. doi: 10.1507/endocrj.EJ18-0441."}] |
Documents |




