Formulation Supplied at 0.5 mg/ml in Tris saline, 0.02% sodium azide, pH7.3 with 0.5% bovine serum albumin.
| |
Unit Size 100 µg | |
Storage Instructions Aliquot and store at -20°C. Minimize freezing and thawing. | |
Synonym / Alias Names proliferating cell nuclear antigen|PCNA|OTTHUMP00000030190|OTTHUMP00000030189|MGC8367|DNA polymerase delta auxiliary protein|cyclin | |
Usage Summary Additional validation: This antibody has been successfully used in the following paper: Sikorski et al. (2018) PMID: 30377371. | |
Accession ID NP_002583.1 | |
Blocking Peptide EBP11651 | |
Immunogen Peptide with sequence C-EAPNQEKVSDYE, from the internal region of the protein sequence according to NP_002583.1. | |
Product Comments Reported variants represent identical protein: NP_872590.1, NP_002583.1 | |
Peptide Sequence C-EAPNQEKVSDYE | |
Purification Method Purified from goat serum by ammonium sulphate precipitation followed by antigen affinity chromatography using the immunizing peptide. | |
Shipping Instructions Refrigerated | |
Predicted Species Human, Mouse, Rat, Dog, Pig, Cow | |
Reactive Species Human, Mouse, Rat, Pig | |
Human Gene ID 5111 | |
Mouse Gene ID 18538 | |
Rat Gene ID 25737 | |
Product Grade ![]() | |
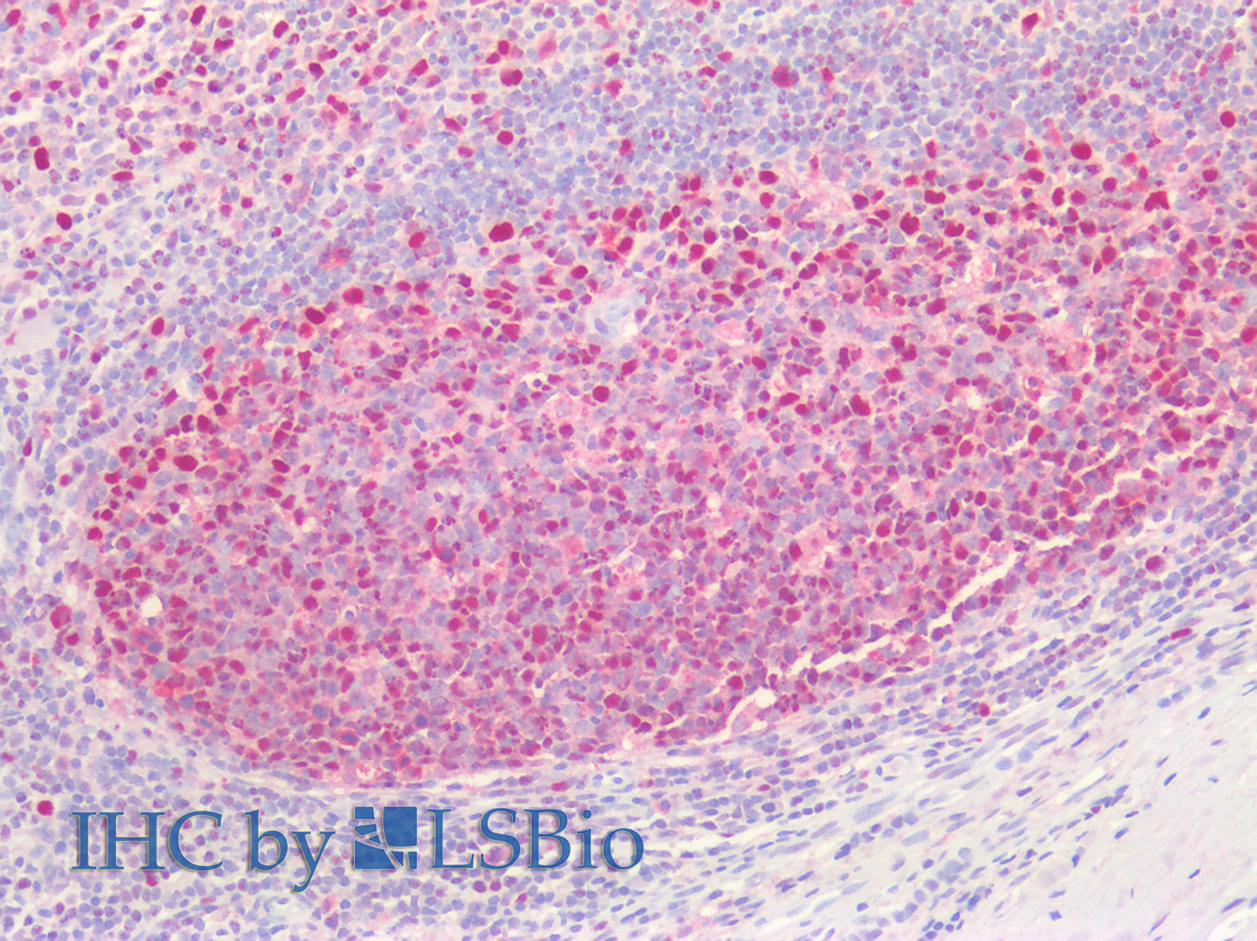
IHC Results Paraffin embedded Human Tonsil. Recommended concentration: 2.5µg/ml. | |
ELISA Detection Limit Antibody detection limit dilution 1:128000. | |
Western Blot Approx 30kDa band observed in lysates of cell line Jurkat (calculated MW of 28.8kDa according to Human NP_002583.1). Approx.35kDa band was observed in lysates of cell line NIH3T3 and in Mouse and Rat Testis, and approx 33kDa in Pig Spleen lysates. (calculated MW of 28.8kDa according to Mouse NP_035175.1, Rat NP_071776.1 and Pig NP_001278854.1).The observed molecular weight corresponds to earlier findings in literature with different antibodies (Gilljam et al, , J Cell Biol. 2009 Sep 7;186(5):645-54.). Recommended concentration: 0.03-0.1µg/ml. | |
Application Type Pep-ELISA, WB, IHC |
Goat Anti-PCNA (aa111-122) Antibody
$431.00
| SKU | Unit Size | Price |
|---|---|---|
Select a unit size:
Selected References [{"pmid": 30377371, "intro": "This antibody has been successfully used in the following paper:", "title": "A high-throughput pipeline for validation of antibodies", "author": "Krzysztof Sikorski, Adi Mehta, Marit Inngjerdingen, Flourina Thakor, Simon Kling, Tomas Kalina, Tuula A. Nyman, Maria Ekman Stensland, Wei Zhou, Gustavo A. De Souza, Lars Holden, Jan Stuchly, Markus Templin and Fridtjof Lund-Johansen", "journal": "Nat Methods. 2018 Nov;15(11):909-912"}] |
Documents |




