Formulation Supplied at 0.5 mg/ml in Tris saline, 0.02% sodium azide, pH7.3 with 0.5% bovine serum albumin.
| |
Unit Size 100 µg | |
Storage Instructions Aliquot and store at -20°C. Minimize freezing and thawing. | |
Synonym / Alias Names dual 3\1, 5\1-cyclic-AMP and -GMP phosphodiesterase 11A|cyclic nucleotide phosphodiesterase 11A|cAMP and cGMP cyclic nucleotide phosphodiesterase 11A|PPNAD2|MGC133356|MGC133355|FLJ23693|phosphodiesterase 11A|PDE11A | |
Accession ID NP_058649.3 ; NP_001070665.1; NP_001070826.1; NP_001070664.1 | |
Blocking Peptide EBP07935 | |
Immunogen Peptide with sequence C-NSFKESMEKSSYSD, from the internal region of the protein sequence according to NP_058649.3 ; NP_001070665.1; NP_001070826.1; NP_001070664.1. | |
Product Comments This antibody is expected to recognise all four reported isoforms (NP_058649.3 ; NP_001070665.1; NP_001070826.1; NP_001070664.1). | |
Peptide Sequence C-NSFKESMEKSSYSD | |
Purification Method Purified from goat serum by ammonium sulphate precipitation followed by antigen affinity chromatography using the immunizing peptide. | |
Shipping Instructions Refrigerated | |
Predicted Species Human, Mouse, Rat, Dog | |
Reactive Species Human | |
Human Gene ID 50940 | |
Mouse Gene ID 241489 | |
Rat Gene ID 140928 | |
Product Grade ![]() | |
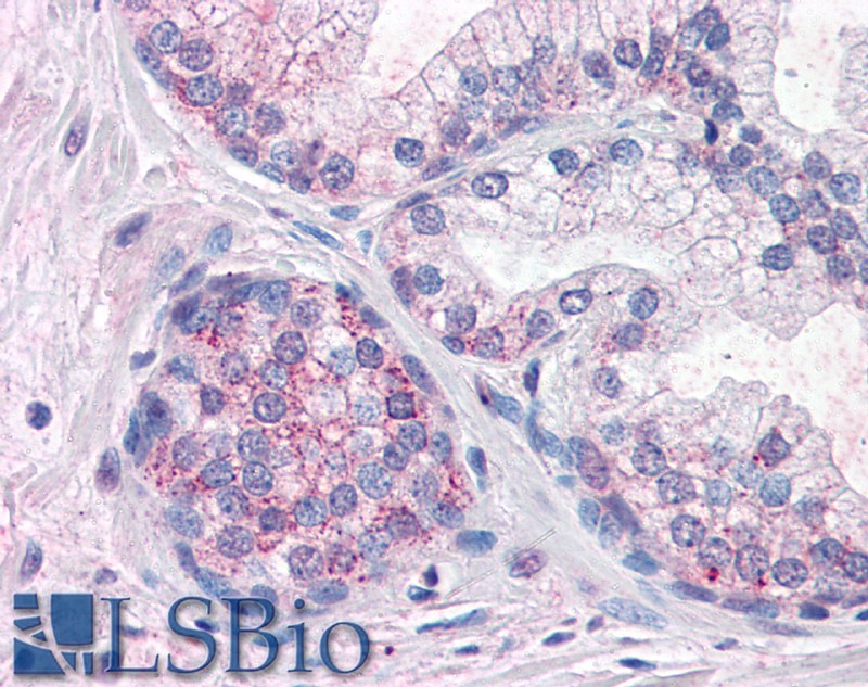
IHC Results Paraffin embedded Human Prostate. Recommended concentration: 10µg/ml. | |
ELISA Detection Limit Antibody detection limit dilution 1:2000. | |
Western Blot Approx 60-65kDa band observed in Human Skeletal Muscle and Human Prostate lysates (calculated MW of 65.7kDa according to NP_001070826.1). Recommended concentration: 0.5-1.5µg/ml. | |
Application Type Pep-ELISA, WB, IHC |
Goat Anti-PDE11A Antibody
$431.00
| SKU | Unit Size | Price |
|---|---|---|
Select a unit size:
Documents |


