Formulation Supplied at 0.5 mg/ml in Tris saline, 0.02% sodium azide, pH7.3 with 0.5% bovine serum albumin.
| |
Unit Size 100 µg | |
Storage Instructions Aliquot and store at -20°C. Minimize freezing and thawing. | |
Synonym / Alias Names progesterone binding protein|HPR6.6|HGNC:16090|progesterone receptor membrane component 1|MPR|PGRMC1 | |
Usage Summary Immunofluorescence: This antibody has been successfully used in IF on Human: Izzo, N. J et al. (2014) PMID: 25390692. | |
Accession ID NP_006658.1 | |
Blocking Peptide EBP07207 | |
Immunogen Peptide with sequence C-EPKDESARKND, from the C Terminus of the protein sequence according to NP_006658.1. | |
Peptide Sequence C-EPKDESARKND | |
Purification Method Purified from goat serum by ammonium sulphate precipitation followed by antigen affinity chromatography using the immunizing peptide. | |
Shipping Instructions Refrigerated | |
Predicted Species Human, Mouse, Rat | |
Reactive Species Human, Mouse | |
Human Gene ID 10857 | |
Mouse Gene ID 53328 | |
Product Grade ![]() | |
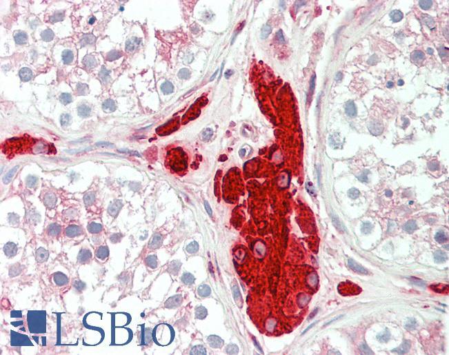
IHC Results Paraffin embedded Human Testis. Recommended concentration: 5µg/ml. | |
ELISA Detection Limit Antibody detection limit dilution 1:4000. | |
Western Blot Approx 24kDa band observed in Human Kidney, Liver and Testis lysates, and approx 25kDa in Mouse Testis lysates (calculated MW of 21.7kDa according to Human NP_006658.1 and Mouse NP_058063.2). These molecular weights are routinely observed by other sources. Recommended concentration: 0.1-0.3µg/ml. Primary incubation 1 hour at room temperature. | |
Application Type Pep-ELISA, WB, IHC, IF |
Goat Anti-PGRMC1 / MPR Antibody
$431.00
| SKU | Unit Size | Price |
|---|---|---|
Select a unit size:
Selected References [{"pmid": 25390692, "intro": "This antibody has been successfully used in IF on Human:", "title": "Alzheimer's therapeutics targeting amyloid beta 1-42 oligomers II: Sigma-2/PGRMC1 receptors mediate Abeta 42 oligomer binding and synaptotoxicity.", "author": "Izzo, N. J., Xu, J., et al.", "journal": "PLoS One. 2014 Nov 12;9(11):e111899."}] |
Documents |



