Formulation Supplied at 0.5 mg/ml in Tris saline, 0.02% sodium azide, pH7.3 with 0.5% bovine serum albumin.
| |
Unit Size 100 µg | |
Storage Instructions Aliquot and store at -20°C. Minimize freezing and thawing. | |
Synonym / Alias Names TNF superfamily, member 3 (LTB)-like (peptidoglycan recognition protein)|TNFSF3L|TAG7|PGRP|PGLYRP|MGC126896|MGC126894|peptidoglycan recognition protein 1|PGLYRP1|PGRPS|PGRP-S | |
Accession ID NP_005082.1 | |
Blocking Peptide EBP08053 | |
Immunogen Peptide with sequence C-PGNQLYHLIQN, from the C Terminus of the protein sequence according to NP_005082.1. | |
Peptide Sequence C-PGNQLYHLIQN | |
Purification Method Purified from goat serum by ammonium sulphate precipitation followed by antigen affinity chromatography using the immunizing peptide. | |
Shipping Instructions Refrigerated | |
Predicted Species Human, Dog | |
Reactive Species Human | |
Human Gene ID 8993 | |
Product Grade ![]() | |
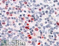
IHC Results In paraffin embedded Human Spleen shows staining of select splenocytes. Recommended concentration, 3-6µg/ml. | |
ELISA Detection Limit Antibody detection limit dilution 1:4000. | |
Western Blot Approx 30kDa band observed in lysates of cell line Jurkat (calculated MW of 21.7kDa according to NP_005082.1). The observed molecular weight corresponds to earlier findings in literature with different antibodies (Lu et al, J Biol Chem. 2006 Mar 3;281(9):5895-907; PMID: 16354652). Recommended concentration: 0.3-1µg/ml. | |
Application Type Pep-ELISA, WB, IHC |
Goat Anti-PGRP-S Antibody
$431.00
| SKU | Unit Size | Price |
|---|---|---|
Select a unit size:
Documents |


