Formulation Supplied at 0.5 mg/ml in Tris saline, 0.02% sodium azide, pH7.3 with 0.5% bovine serum albumin.
| |
Unit Size 100 µg | |
Storage Instructions Aliquot and store at -20°C. Minimize freezing and thawing. | |
Synonym / Alias Names tumor-supressing STF cDNA 3|tumor suppressing subtransferable candidate 3|tumor suppressing subchromosomal transferable fragment cDNA 3|pleckstrin homology-like domain family A member 2|p17-Beckwith-Wiedemann region 1C|imprinted in placenta and liver|tumor-supressing STF cDNA 3|tumor suppressing subtransferable candidate 3|PHLDA2|HLDA2|BWR1C|BRW1C|IPL|TSSC3|pleckstrin homology-like domain, family A, member 2|PHLDA2 | |
Usage Summary Immunofluorescence: Strong expression of the protein seen in the cytoplasm of HeLa cells. Recommended concentration: 10µg/ml.
Flow Cytometry: Flow cytometric analysis of MCF7 cells. Recommended concentration: 10ug/ml. | |
Accession ID NP_003302.1 | |
Blocking Peptide EBP06184 | |
Immunogen Peptide with sequence C-EPSRPSPQPKPRTP, from the C Terminus of the protein sequence according to NP_003302.1. | |
Peptide Sequence C-EPSRPSPQPKPRTP | |
Purification Method Purified from goat serum by ammonium sulphate precipitation followed by antigen affinity chromatography using the immunizing peptide. | |
Shipping Instructions Refrigerated | |
Predicted Species Human | |
Reactive Species Human | |
Human Gene ID 7262 | |
Product Grade ![]() | |
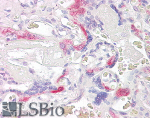
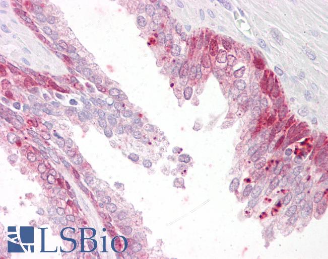
IHC Results Paraffin embedded Human Placenta and Prostate. Recommended concentration: 3.75µg/ml. | |
ELISA Detection Limit Antibody detection limit dilution 1:32000. | |
Western Blot Approx. 22kDa band observed in lysates of cell line MDA-MB-231 and in preliminary testing of MCF7 cell lysate (calculated MW of 17.1kDa according to NP_003302.1). This molecular weight has been observed by other sources. Recommended concentration 2-3µg/ml Primary incubation 1 hour at room temperature. | |
Application Type Pep-ELISA, WB, IF, IHC, FC |
Goat Anti-PHLDA2 / IPL Antibody
$431.00
| SKU | Unit Size | Price |
|---|---|---|
Select a unit size:
Documents |





