Formulation Supplied at 0.5 mg/ml in Tris saline, 0.02% sodium azide, pH7.3 with 0.5% bovine serum albumin.
| |
Unit Size 100 µg | |
Storage Instructions Aliquot and store at -20°C. Minimize freezing and thawing. | |
Synonym / Alias Names phosphodiesterase 4B, cAMP-specific (dunce (Drosophila)-homolog phosphodiesterase E4)|phosphodiesterase 4B, cAMP-specific|dunce-like phosphodiesterase E4|cAMP-specific 3\1, 5\1-cyclic phosphodiesterase 4B|OTTHUMP00000046896|PDEIVB|MGC126529|DPDE4|DKFZp686F2182|RP5-876C12.1|phosphodiesterase 4B, cAMP-specific (phosphodiesterase E4 dunce homolog, Drosophila)|PDE4B | |
Accession ID NP_002591.2; NP_001032418.1; NP_001032416.1; NP_001032417.1 | |
Blocking Peptide EBP07117 | |
Immunogen Peptide with sequence C-DIDIATEDKSPVDT, from the C Terminus of the protein sequence according to NP_002591.2; NP_001032418.1; NP_001032416.1; NP_001032417.1. | |
Product Comments This antibody is expected to recognise all reported isoforms (NP_002591.2, NP_001032418.1, NP_001032416.1 and NP_001032417.1). | |
Peptide Sequence C-DIDIATEDKSPVDT | |
Purification Method Purified from goat serum by ammonium sulphate precipitation followed by antigen affinity chromatography using the immunizing peptide. | |
Shipping Instructions Refrigerated | |
Predicted Species Human, Mouse, Rat | |
Reactive Species Mouse, Human | |
Human Gene ID 5142 | |
Product Grade ![]() | |
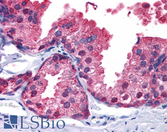
IHC Results Paraffin embedded Human Prostate. Recommended concentration: 5µg/ml. | |
ELISA Detection Limit Antibody detection limit dilution 1:8000. | |
Western Blot Approx 85kDa band observed in Mouse Brain lysates (calculated MW of 83.3kDa according to Human NP_002591.2 and 82.1kDa according to Mouse NP_062814.2). In transfected HEK293 transiently expressing Human PDE4B a band of approx. 85kDa is observed. This band is not observed in the non-transfected HEK293. Recommended concentration: 0.5-1.0 µg/ml. | |
Application Type Pep-ELISA, WB, IHC |
Goat Anti-Phosphodiesterase 4B Antibody
$431.00
| SKU | Unit Size | Price |
|---|---|---|
Select a unit size:
Documents |



