Formulation Supplied at 0.5 mg/ml in Tris saline, 0.02% sodium azide, pH7.3 with 0.5% bovine serum albumin.
| |
Unit Size 100 µg | |
Storage Instructions Aliquot and store at -20°C. Minimize freezing and thawing. | |
Synonym / Alias Names protein kinase C, alpha binding protein|protein interacting with C kinase 1|PRKCA-binding protein|OTTHUMP00000028509|PRKCABP|MGC15204|protein interacting with PRKCA 1|PICK1 | |
Accession ID NP_036539.1 | |
Blocking Peptide EBP07467 | |
Immunogen Peptide with sequence C-HYNKLQADPKQ, from the internal region of the protein sequence according to NP_036539.1. | |
Product Comments Reported variants represent identical protein (NP_036539.1; NP_001034672.1; NP_001034673.1). | |
Peptide Sequence C-HYNKLQADPKQ | |
Purification Method Purified from goat serum by ammonium sulphate precipitation followed by antigen affinity chromatography using the immunizing peptide. | |
Shipping Instructions Refrigerated | |
Predicted Species Human, Mouse, Rat, Dog, Pig, Cow | |
Reactive Species Human, Mouse | |
Human Gene ID 9463 | |
Mouse Gene ID 18693 | |
Rat Gene ID 84591 | |
Product Grade ![]() | |
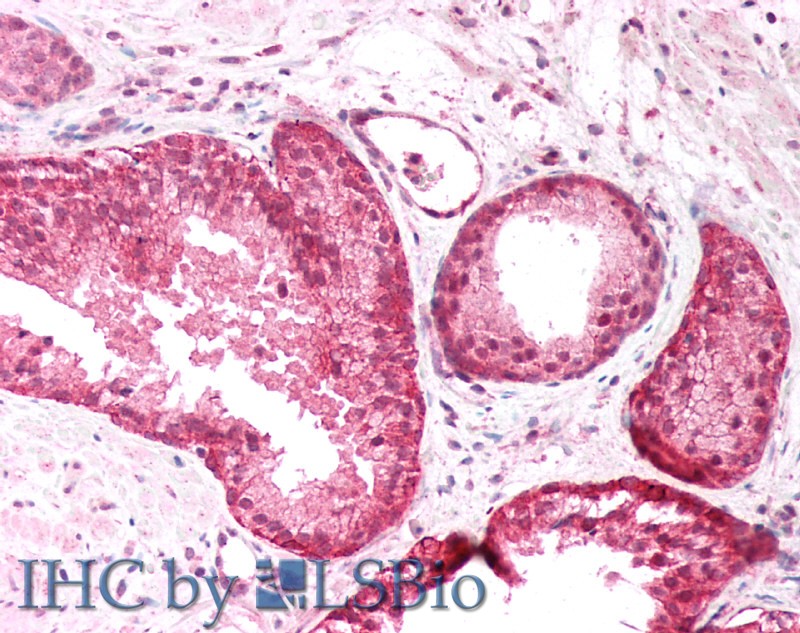
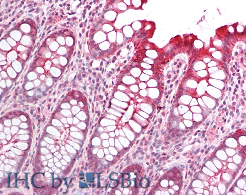
IHC Results Paraffin embedded Human Colon and Prostate. Recommended concentration: 5µg/ml. | |
ELISA Detection Limit Antibody detection limit dilution 1:16000. | |
Western Blot Approx 50kDa band observed in Mouse Brain lysates (calculated MW of 46.6kDa according to NP_036539.1, NP_001034672.1and NP_001034673.1). Recommended concentration: 1-3µg/ml. Primary incubation was 1 hour. | |
Application Type Pep-ELISA, WB, IHC |
Goat Anti-PICK1 Antibody
$431.00
| SKU | Unit Size | Price |
|---|---|---|
Select a unit size:
Documents |



