Formulation Supplied at 0.5 mg/ml in Tris saline, 0.02% sodium azide, pH7.3 with 0.5% bovine serum albumin.
| |
Unit Size 100 µg | |
Storage Instructions Aliquot and store at -20°C. Minimize freezing and thawing. | |
Synonym / Alias Names phosphatidylinositol-4, 5-bisphosphate 3-kinase catalytic subunit, alpha isoform|phosphatidylinositol 3-kinase, catalytic, alpha polypeptide|phosphatidylinositol 3-kinase, catalytic, 110-KD, alpha|PtdIns-3-kinase p110|PI3-kinase p110 subunit alpha|PI3K|MGC142163|MGC142161|phosphoinositide-3-kinase, catalytic, alpha polypeptide|p110-alpha|PIK3CA | |
Accession ID NP_006209.2 | |
Blocking Peptide EBP07512 | |
Immunogen Peptide with sequence C-HQWLKDKNKGEIYD, from the internal region of the protein sequence according to NP_006209.2. | |
Peptide Sequence C-HQWLKDKNKGEIYD | |
Purification Method Purified from goat serum by ammonium sulphate precipitation followed by antigen affinity chromatography using the immunizing peptide. | |
Shipping Instructions Refrigerated | |
Predicted Species Human, Mouse, Rat, Dog, Cow | |
Reactive Species Human | |
Human Gene ID 5290 | |
Mouse Gene ID 18706 | |
Rat Gene ID 170911 | |
Product Grade ![]() | |
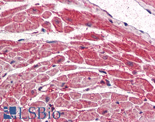
IHC Results In paraffin embedded Human Brain (Cerebral Cortex) shows cytoplasm stained in the cell bodies. Recommended concentration: 2-3µg/ml. Paraffin embedded Human Heart. Recommended concentration: 5µg/ml. This antibody has been successfully used in IHC on Human in the following paper: Abubaker J et al. (2009) PMID: 19638206. | |
ELISA Detection Limit Antibody detection limit dilution 1:128000. | |
Western Blot Preliminary experiments in lysates of cell lines A431, HeLa and Jurkat gave no specific signal but low background (at antibody concentration up to 1µg/ml). | |
Application Type Pep-ELISA, IHC |
Goat Anti-PIK3CA / P110alpha Antibody
$431.00
| SKU | Unit Size | Price |
|---|---|---|
Select a unit size:
Selected References [{"pmid": 19638206, "intro": "This antibody has been successfully used in IHC on Human:", "title": "PIK3CA alterations in Middle Eastern ovarian cancers.", "author": "Abubaker J, Bavi P, Al-Haqawi W, Jehan Z, Munkarah A, Uddin S, Al-Kuraya KS.", "journal": "Mol Cancer. 2009 Jul 28;8:51."}] |
Documents |


