Formulation Supplied at 0.5 mg/ml in Tris saline, 0.02% sodium azide, pH7.3 with 0.5% bovine serum albumin.
| |
Unit Size 100 µg | |
Storage Instructions Aliquot and store at -20°C. Minimize freezing and thawing. | |
Synonym / Alias Names polycystin 1|polycystic kidney disease-associated protein|PBP|polycystic kidney disease 1 (autosomal dominant)|PKD1 | |
Usage Summary Immunoprecipitation: This antibody was successfully used on Human (PMID:25574838, and PMID: 29706351).
Immunofluorescence: This antibody was successfully used in IF on Human (Durand et al, Sci Rep. 2016 Oct 24;6:35963, PMID: 27775029). | |
Accession ID NP_001009944.1; NP_000287.2 | |
Blocking Peptide EBP08670 | |
Immunogen Peptide with sequence C-RTPLRAKNKVHP, from the C Terminus of the protein sequence according to NP_001009944.1; NP_000287.2. | |
Product Comments This antibody is expected to recognize both reported isoforms (NP_001009944.1 and NP_000287.2). | |
Peptide Sequence C-RTPLRAKNKVHP | |
Purification Method Purified from goat serum by ammonium sulphate precipitation followed by antigen affinity chromatography using the immunizing peptide. | |
Shipping Instructions Refrigerated | |
Predicted Species Human | |
Reactive Species Human | |
Human Gene ID 5310 | |
Product Grade ![]() | |
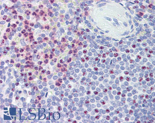
IHC Results In paraffin embedded Human Kidney shows textured cytoplasmic staining towards the basal membrane in PCT. Recommended concentration: 3-5µg/ml. Paraffin embedded Human Spleen. Recommended concentration: 3.75µg/ml. | |
ELISA Detection Limit Antibody detection limit dilution 1:64000. | |
Application Type Pep-ELISA, IHC, IP, IF |
Goat Anti-PKD1 / Polycystin 1 Antibody
$431.00
| SKU | Unit Size | Price |
|---|---|---|
Select a unit size:
Selected References [{"pmid": 29706351, "intro": "This antibody has been successfully used in IP on Human:", "title": "Monoallelic Mutations to DNAJB11 Cause Atypical Autosomal-Dominant Polycystic Kidney Disease.", "author": "Cornec-Le Gall E, Olson RJ, Besse W, Heyer CM, Gainullin VG, Smith JM, Audrézet MP, Hopp K, Porath B, Shi B, Baheti S, Senum SR, Arroyo J, Madsen CD, Férec C, Joly D, Jouret F, Fikri-Benbrahim O, Charasse C, Coulibaly JM, Yu AS, Khalili K, Pei Y, Somlo S, Le Meur Y, Torres VE; Genkyst Study Group; HALT Progression of Polycystic Kidney Disease Group; Consortium for Radiologic Imaging Studies of Polycystic KidneyDisease, Harris PC.", "journal": "Am J Hum Genet. 2018 May 3;102(5):832-844"}, {"pmid": 25574838, "intro": "This antibody has been successfully used in IP on Human:", "title": "Polycystin-1 maturation requires polycystin-2 in a dose-dependent manner.", "author": "Gainullin VG, Hopp K, Ward CJ, Hommerding CJ, Harris PC.", "journal": "J Clin Invest. 2015 Jan 9. pii: 76972."}, {"pmid": 27775029, "intro": "This antibody has been successfully used in IF on Human:", "title": "Protein Kinase D1 regulates focal adhesion dynamics and cell adhesion through Phosphatidylinositol-4-phosphate 5-kinase type-l ?.", "author": "Durand N, Bastea LI, Long J, Döppler H, Ling K, Storz P.", "journal": "Sci Rep. 2016 Oct 24;6:35963."}, {"pmid": 27649783, "intro": "This antibody has been successfully used in IHC and IF on Human:", "title": "The PRKD1 promoter is a target of the KRas-NF-?B pathway in pancreatic cancer", "author": "Döppler H, Panayiotou R, Reid EM, Maimo W, Bastea L, Storz P", "journal": "Sci Rep. 2016 Sep 21;6:33758."}] |
Documents |


