Formulation Supplied at 0.5 mg/ml in Tris saline, 0.02% sodium azide, pH7.3 with 0.5% bovine serum albumin.
| |
Unit Size 100 µg | |
Storage Instructions Aliquot and store at -20°C. Minimize freezing and thawing. | |
Synonym / Alias Names phospholi|phosphatidylcholine 2-acylhydrolase 2A|non-pancreatic secretory phospholipase A2|group IIA phospholipase A2|NPS-PLA2|GIIC sPLA2|sPLA2|PLAS1|PLA2S|PLA2L|PLA2B|PLA2|MOM1|phospholipase A2, group IIA (platelets, synovial fluid)|PLA2G2A | |
Accession ID NP_000291.1 | |
Blocking Peptide EBP12467 | |
Immunogen Peptide with sequence C-SYKFSNSGSRIT, from the internal region of the protein sequence according to NP_000291.1. | |
Product Comments Reported variants represent identical protein: NP_001155199.1, NP_000291.1, NP_001155201.1, NP_001155200.1. | |
Peptide Sequence C-SYKFSNSGSRIT | |
Purification Method Purified from goat serum by ammonium sulphate precipitation followed by antigen affinity chromatography using the immunizing peptide. | |
Shipping Instructions Refrigerated | |
Predicted Species Human | |
Reactive Species Human | |
Human Gene ID 5320 | |
Product Grade ![]() | |
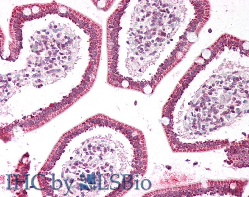
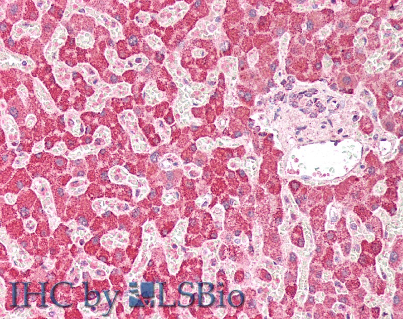
IHC Results Paraffin embedded Human Liver and Small Intestine. Recommended concentration: 5µg/ml. | |
ELISA Detection Limit Antibody detection limit dilution 1:8000. | |
Western Blot Approx 19kDa band observed in Human Placenta lysates (calculated MW of 16.1kDa according to NP_000291.1). Recommended concentration: 0.1-0.3µg/ml. Primary incubation was 1 hour. | |
Application Type Pep-ELISA, WB, IHC |
Goat Anti-PLA2G2A Antibody
$431.00
| SKU | Unit Size | Price |
|---|---|---|
Select a unit size:
Documents |



