Formulation Supplied at 0.5 mg/ml in Tris saline, 0.02% sodium azide, pH7.3 with 0.5% bovine serum albumin.
| |
Unit Size 100 µg | |
Storage Instructions Aliquot and store at -20°C. Minimize freezing and thawing. | |
Synonym / Alias Names desmoplakin-3|desmoplakin III|catenin (cadherin-associated protein), gamma 80kDa|catenin (cadherin-associated protein), gamma (80kD)|CTNNG|ARVD12|DPIII|PKGB|PDGB|DP3|junction plakoglobin|GAMMA-CATENIN|JUP | |
Usage Summary Additional validation: This antibody has been successfully used in the following paper: Sikorski et al. (2018) PMID: 30377371. | |
Accession ID NP_002221.1, NP_068831.1 | |
Blocking Peptide EBP05500 | |
Immunogen Peptide with sequence C-GLRPPYPTADHMLA, from the C Terminus of the protein sequence according to NP_002221.1, NP_068831.1. | |
Product Comments This antibody is expected to recognise both reported isoforms, as represented by NP_002221.1 and NP_068831.1. | |
Peptide Sequence C-GLRPPYPTADHMLA | |
Purification Method Purified from goat serum by ammonium sulphate precipitation followed by antigen affinity chromatography using the immunizing peptide. | |
Shipping Instructions Refrigerated | |
Predicted Species Human, Mouse, Rat, Dog, Pig | |
Reactive Species Human, Mouse, Rat | |
Human Gene ID 3728 | |
Mouse Gene ID 16480 | |
Product Grade ![]() | |
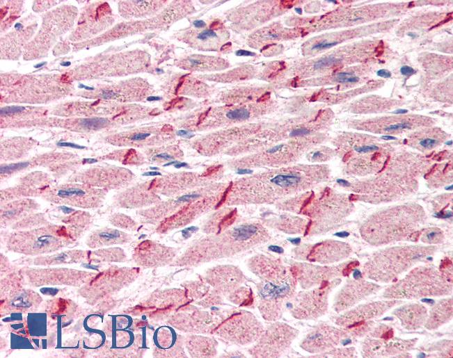
IHC Results Paraffin embedded Human Heart. Recommended concentration: 5µg/ml. | |
ELISA Detection Limit Antibody detection limit dilution 1:32000. | |
Western Blot Approx 80kDa band observed in lysates of cell lines A431 and NIH3T3 and in Rat Eye lysates (calculated MW of 81.7kDa according to Human NP_002221.1 and Mouse NP_034723.1). Recommended concentration: 0.1-0.3µg/ml. | |
Application Type Pep-ELISA, WB, IHC |
Goat Anti-Plakoglobin / Gamma-catenin Antibody
$431.00
| SKU | Unit Size | Price |
|---|---|---|
Select a unit size:
Selected References [{"pmid": 30377371, "intro": "This antibody has been successfully used in the following paper:", "title": "A high-throughput pipeline for validation of antibodies", "author": "Krzysztof Sikorski, Adi Mehta, Marit Inngjerdingen, Flourina Thakor, Simon Kling, Tomas Kalina, Tuula A. Nyman, Maria Ekman Stensland, Wei Zhou, Gustavo A. De Souza, Lars Holden, Jan Stuchly, Markus Templin and Fridtjof Lund-Johansen", "journal": "Nat Methods. 2018 Nov;15(11):909-912"}] |
Documents |



