Formulation Supplied at 0.5 mg/ml in Tris saline, 0.02% sodium azide, pH7.3 with 0.5% bovine serum albumin.
| |
Unit Size 100 µg | |
Storage Instructions Aliquot and store at -20°C. Minimize freezing and thawing. | |
Synonym / Alias Names PLCD3| PLC-delta-3| PLC delta3| phospholipase C-delta-3| phospholipase C, delta 3| phosphoinositide phospholipase C-delta-3| MGC71172| 1-phosphatidylinositol-4, 5-bisphosphate phosphodiesterase delta-3 | |
Accession ID NP_588614.1 | |
Blocking Peptide EBP11174 | |
Immunogen Peptide with sequence C-HQYSGEDRVLSAPE, from the internal region of the protein sequence according to NP_588614.1. | |
Peptide Sequence C-HQYSGEDRVLSAPE | |
Purification Method Purified from goat serum by ammonium sulphate precipitation followed by antigen affinity chromatography using the immunizing peptide. | |
Shipping Instructions Refrigerated | |
Predicted Species Human, Mouse, Rat, Dog, Pig, Cow | |
Reactive Species Human | |
Human Gene ID 113026 | |
Mouse Gene ID 72469 | |
Rat Gene ID 287745 | |
Product Grade ![]() | |
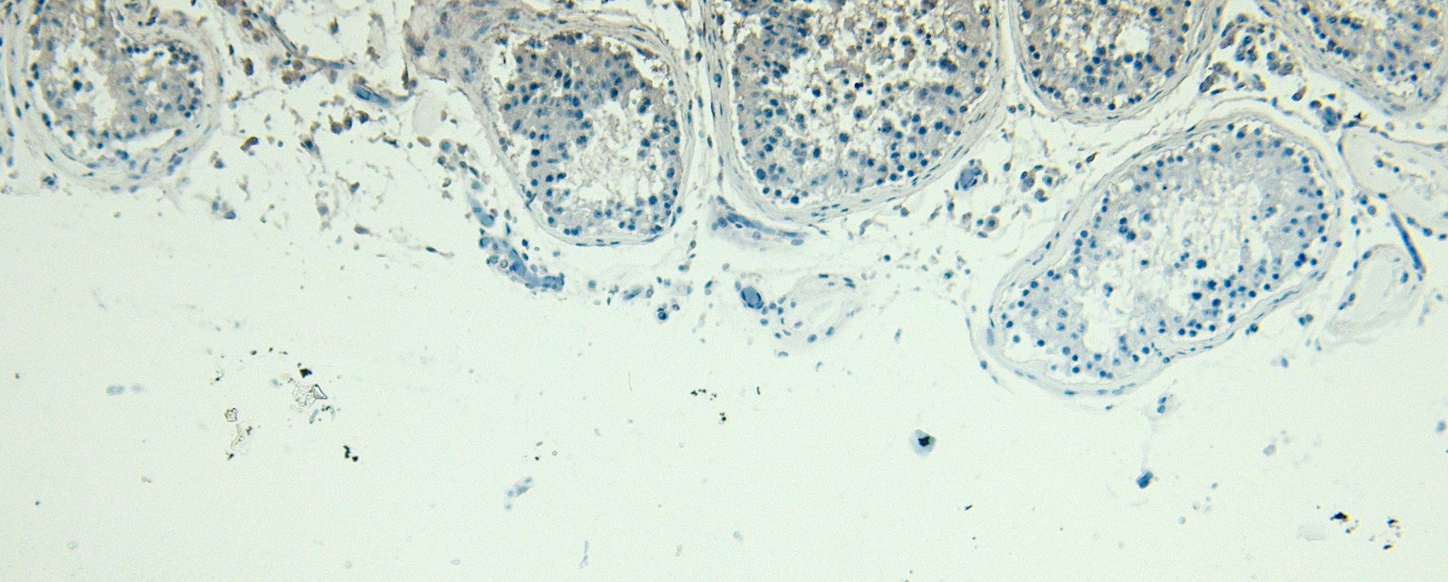
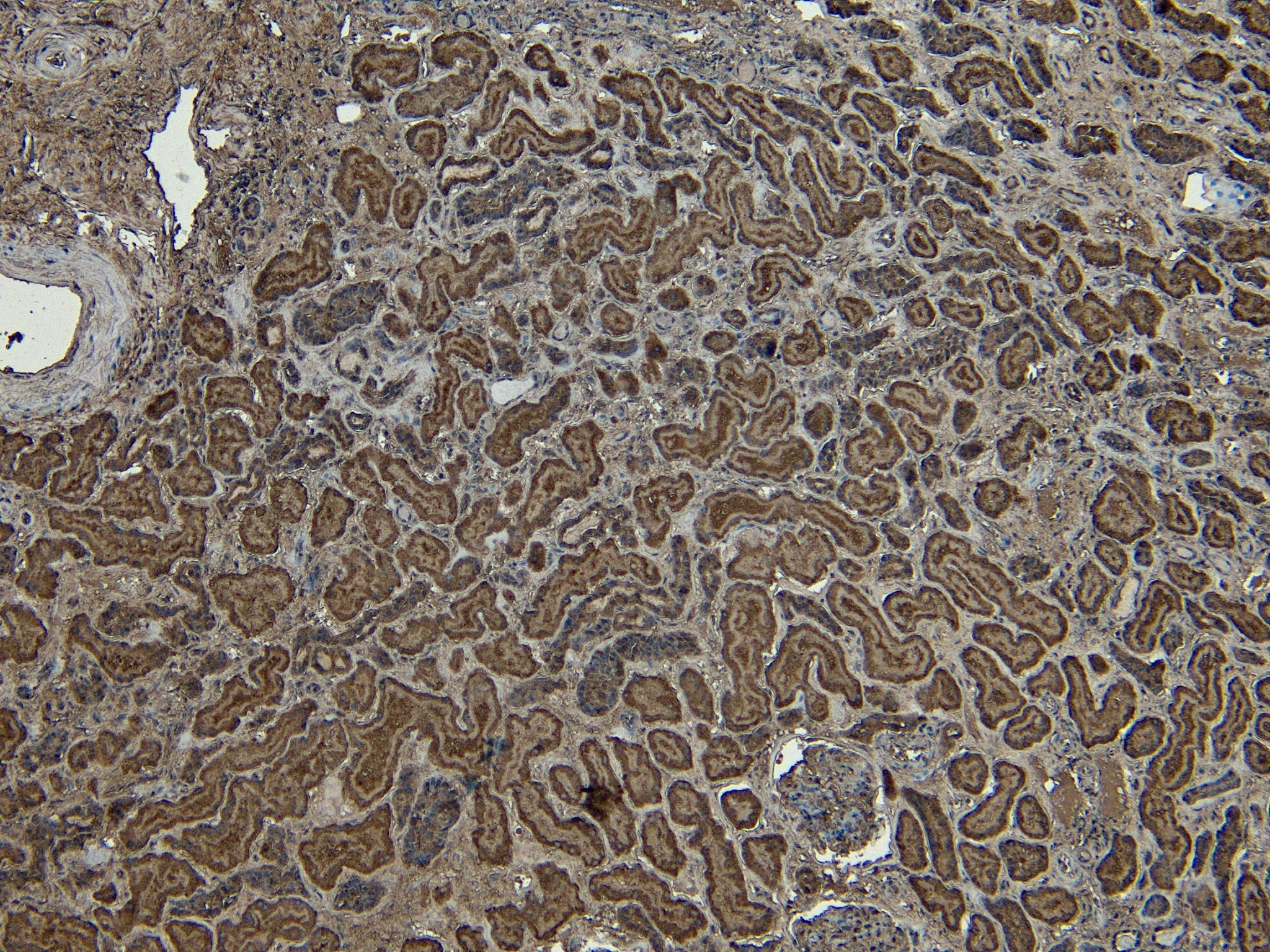
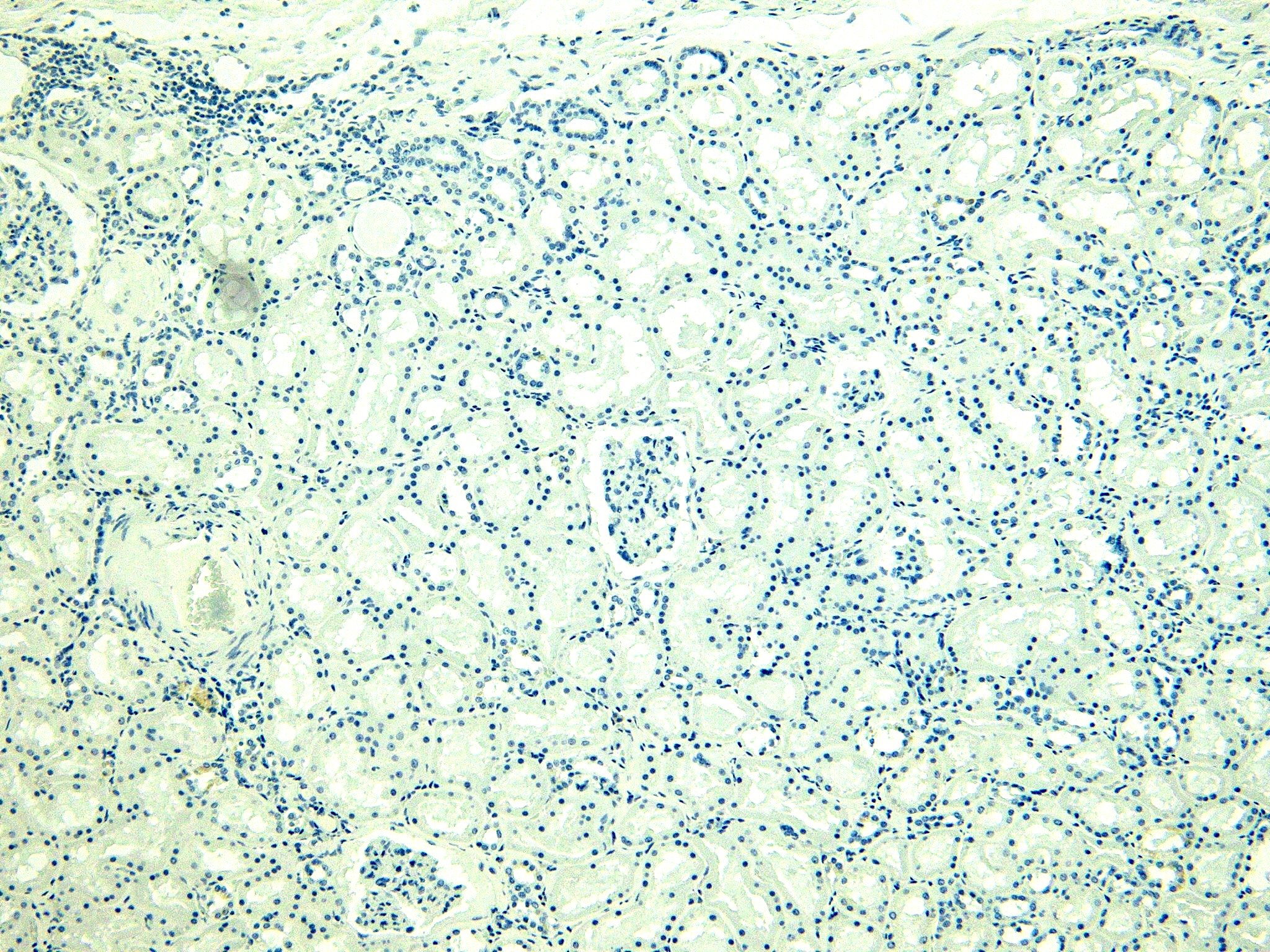
IHC Results Paraffin embedded Human Kidney and Testis. Recommended concentration: 6µg/ml. | |
ELISA Detection Limit Antibody detection limit dilution 1:32000. | |
Western Blot Approx 85kDa band observed in lysates of cell limes A549 and Caco-2, and in preliminary testing of cell lines HeLa, HEK293 and U251 lysate (calculated MW of 89.3kDa according to NP_588614.1). Recommended concentration: 1-3µg/ml. Primary incubation 1 hour at room temperature. | |
Application Type Pep-ELISA, WB, IHC |
Goat Anti-PLCD3 (aa261-274) Antibody
$431.00
| SKU | Unit Size | Price |
|---|---|---|
Select a unit size:





