Formulation Supplied at 0.5 mg/ml in Tris saline, 0.02% sodium azide, pH7.3 with 0.5% bovine serum albumin.
| |
Unit Size 100 µg | |
Storage Instructions Aliquot and store at -20°C. Minimize freezing and thawing. | |
Synonym / Alias Names FLJ27168|p47|P47|pleckstrin|PLEK | |
Usage Summary Immunofluorescence: Strong expression of the protein seen in the cytoplasm/ membranes and nuclei of HeLa cells. Recommended concentration: 10µg/ml.
Flow Cytometry: Flow cytometric analysis of HeLa cells. Recommended concentration: 10ug/ml. | |
Accession ID NP_002655.2 | |
Blocking Peptide EBP06169 | |
Immunogen Peptide with sequence C-EWIKAIQMASRTGK, from the C Terminus of the protein sequence according to NP_002655.2. | |
Peptide Sequence C-EWIKAIQMASRTGK | |
Purification Method Purified from goat serum by ammonium sulphate precipitation followed by antigen affinity chromatography using the immunizing peptide. | |
Shipping Instructions Refrigerated | |
Predicted Species Human | |
Reactive Species Human | |
Human Gene ID 5341 | |
Product Grade ![]() | |
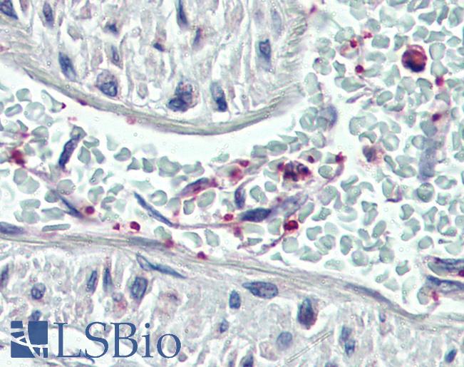
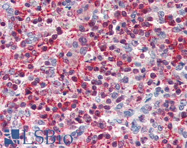
IHC Results Paraffin embedded Human Vessel (platelets) and Spleen. Recommended concentration: 3.75µg/ml. | |
ELISA Detection Limit Antibody detection limit dilution 1:16000. | |
Western Blot Approx 40-45kDa band observed in Human Parathyroid gland lysates and also in preliminary testing of Mouse Spleen lysates and lysates of cell line U937 (calculated MW of 40.1kDa according to Human NP_002655.2). Recommended concentration: 0.01-0.3µg/ml. Primary incubation 1 hour at room temperature. Negative Control: HepG2 ( hepatocellular carcinoma) cell lysate. | |
Application Type Pep-ELISA, WB, IF, FC, IHC |
Goat Anti-Pleckstrin Antibody
$431.00
| SKU | Unit Size | Price |
|---|---|---|
Select a unit size:
Documents |





