Formulation Supplied at 0.5 mg/ml in Tris saline, 0.02% sodium azide, pH7.3 with 0.5% bovine serum albumin.
| |
Unit Size 100 µg | |
Storage Instructions Aliquot and store at -20°C. Minimize freezing and thawing. | |
Synonym / Alias Names osteoblast-specific factor 1|OSF-1|heparin-binding neurite outgrowth-promoting factor 1|heparin-binding growth factor 8|heparin-binding brain mitogen|HBNF-1|HBGF-8|HB-GAM|HBBM|pleiotrophin|neurite growth-promoting factor 1|heparin-binding growth-associated molecule|heparin binding growth factor 8|heparin affin regulatory protein|NEGF1|HBNF|HBGF8|HARP|pleiotrophin (heparin binding growth factor 8, neurite growth-promoting factor 1)|PTN | |
Accession ID NP_002816.1 | |
Blocking Peptide EBP08421 | |
Immunogen Peptide with sequence C-KEGKKQEKMLD, from the C Terminus of the protein sequence according to NP_002816.1. | |
Peptide Sequence C-KEGKKQEKMLD | |
Purification Method Purified from goat serum by ammonium sulphate precipitation followed by antigen affinity chromatography using the immunizing peptide. | |
Shipping Instructions Refrigerated | |
Predicted Species Human, Mouse, Rat | |
Reactive Species Human, Mouse | |
Human Gene ID 5764 | |
Mouse Gene ID 19242 | |
Rat Gene ID 24924 | |
Product Grade ![]() | |
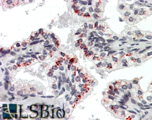
IHC Results In paraffin embedded Human Prostate shows distinct staining at the base of the glands. Recommended concentration, 3-5µg/ml. | |
ELISA Detection Limit Antibody detection limit dilution 1:8000. | |
Western Blot Approx 18kDa band observed in lysates of Mouse fetal Brain (calculated MW of 18.9kDa according to Mouse NP_032999.1). Recommended concentration: 0.1-0.3µg/ml. | |
Application Type Pep-ELISA, WB, IHC |
Goat Anti-Pleiotrophin Antibody
$431.00
| SKU | Unit Size | Price |
|---|---|---|
Select a unit size:
Documents |


