Formulation Supplied at 0.5 mg/ml in Tris saline, 0.02% sodium azide, pH7.3 with 0.5% bovine serum albumin.
| |
Unit Size 100 µg | |
Storage Instructions Aliquot and store at -20°C. Minimize freezing and thawing. | |
Synonym / Alias Names PNP|purine nucleoside phosphorylase|NP|PRO1837|PUNP|inosine phosphorylase|purine-nucleoside:orthophosphate ribosyltransferase | |
Accession ID NP_000261.2 | |
Blocking Peptide EBP11991 | |
Immunogen Peptide with sequence C-SGQNPLRGPNDE, from the internal region of the protein sequence according to NP_000261.2. | |
Peptide Sequence C-SGQNPLRGPNDE | |
Purification Method Purified from goat serum by ammonium sulphate precipitation followed by antigen affinity chromatography using the immunizing peptide. | |
Shipping Instructions Refrigerated | |
Predicted Species Human, Mouse, Rat | |
Reactive Species Human | |
Human Gene ID 4860 | |
Product Grade ![]() | |
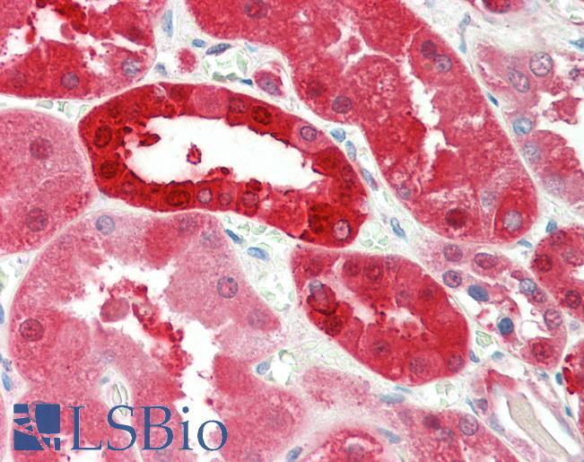
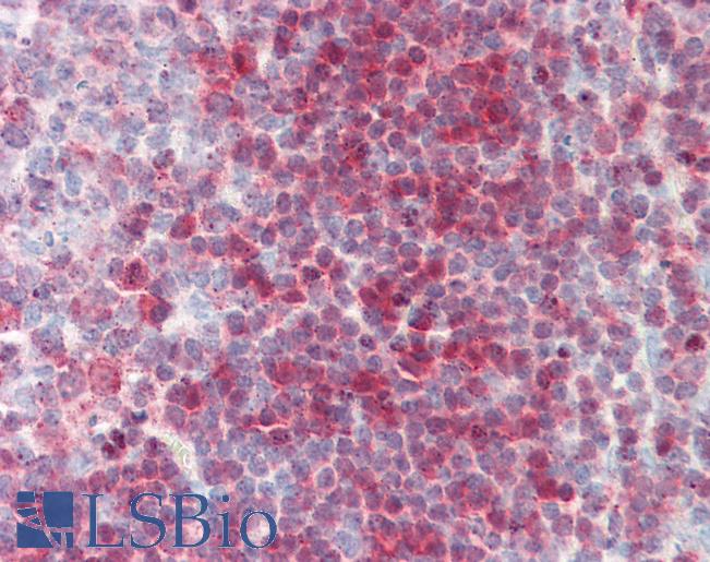
IHC Results Paraffin embedded Human Tonsil and Kidney. Recommended concentration: 5µg/ml. | |
ELISA Detection Limit Antibody detection limit dilution 1:128000. | |
Western Blot Approx 30kDa band observed in lysates of Human Liver, Erythrocytes and of cell lines Daudi, Jurkat and K562 (calculated MW of 32.1kDa according to NP_000261.2). Recommended concentration: 0.03-0.1µg/ml. Primary incubation was 1 hour. | |
Application Type Pep-ELISA, WB, IHC |
Goat Anti-PNP (aa142-153) Antibody
$431.00
| SKU | Unit Size | Price |
|---|---|---|
Select a unit size:
Documents |



