Formulation Supplied at 0.5 mg/ml in Tris saline, 0.02% sodium azide, pH7.3 with 0.5% bovine serum albumin.
| |
Unit Size 100 µg | |
Storage Instructions Aliquot and store at -20°C. Minimize freezing and thawing. | |
Synonym / Alias Names A-esterase 2|aromatic esterase 2|paraoxonase 2|paraoxonase nirs|serum aryldialkylphosphatase 2|serum paraoxonase/arylesterase 2|PON2 | |
Accession ID NP_000296.2; NP_001018171.1 | |
Blocking Peptide EBP09835 | |
Immunogen Peptide with sequence C-EKPRARELRIS, from the internal region of the protein sequence according to NP_000296.2; NP_001018171.1. | |
Product Comments This antibody is expected to recognize isoforms 1 and 2 (NP_000296.2; NP_001018171.1). | |
Peptide Sequence C-EKPRARELRIS | |
Purification Method Purified from goat serum by ammonium sulphate precipitation followed by antigen affinity chromatography using the immunizing peptide. | |
Shipping Instructions Refrigerated | |
Predicted Species Human, Rat, Pig, Dog | |
Reactive Species Human | |
Human Gene ID 5445 | |
Rat Gene ID 296851 | |
Product Grade ![]() | |
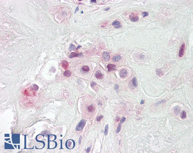
IHC Results Paraffin embedded Human Placenta. Recommended concentration: 3.75µg/ml. | |
ELISA Detection Limit Antibody detection limit dilution 1:32000. | |
Western Blot Approx 40kDa double band observed in lysates of HepG2 (calculated MW of 39.4kDa according to NP_000296.2 and of 38.0kDa according to NP_001018171.1). Recommended concentration: 0.2-0.6µg/ml. Primary incubation was 1 hour.
An additional band of unknown identity was also consistently observed at 60kDa. This band was successfully blocked by incubation with the immunizing peptide. | |
Application Type Pep-ELISA, WB, IHC |
Goat Anti-PON2 Antibody
$431.00
| SKU | Unit Size | Price |
|---|---|---|
Select a unit size:
Documents |


