Formulation Supplied at 0.5 mg/ml in Tris saline, 0.02% sodium azide, pH7.3 with 0.5% bovine serum albumin.
| |
Unit Size 100 µg | |
Storage Instructions Aliquot and store at -20°C. Minimize freezing and thawing. | |
Synonym / Alias Names serine/threonine protein phosphatase 2A, catalytic subunit, beta isoform|protein phosphatase type 2A catalytic subunit|protein phosphatase 2, catalytic subunit, beta isoform|PP2A-beta|PP2CB|protein phosphatase 2 (formerly 2A), catalytic subunit, beta isoform|PPP2CB|serine/threonine-protein phosphatase 2A catalytic subunit alpha isoform|serine/threonine protein phosphatase 2A, catalytic subunit, alpha isoform|replication protein C|protein phosphatase 2, catalytic subunit, alpha isoform|PP2A-alpha|RP-C|PP2CA|PP2Ac|protein phosphatase 2 (formerly 2A), catalytic subunit, alpha isoform|PPP2CA | |
Accession ID NP_002706.1; NP_004147.1 | |
Blocking Peptide EBP05230 | |
Immunogen Peptide with sequence C-EPHVTRRTPDYFL, from the C Terminus of the protein sequence according to NP_002706.1; NP_004147.1. | |
Product Comments Two variants NP_001009552.1 and NP_004147.1 represent identical protein. | |
Peptide Sequence C-EPHVTRRTPDYFL | |
Purification Method Purified from goat serum by ammonium sulphate precipitation followed by antigen affinity chromatography using the immunizing peptide. | |
Shipping Instructions Refrigerated | |
Predicted Species Human, Mouse, Rat, Dog, Pig, Cow | |
Reactive Species Human, Mouse, Rat, Pig | |
Human Gene ID 5515, 5516 | |
Mouse Gene ID 19052 | |
Rat Gene ID 24672 | |
Product Grade ![]() | |
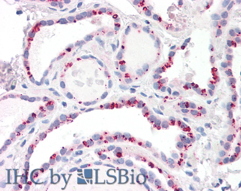
IHC Results Paraffin embedded Human Kidney and Thyroid. Recommended concentration: 10µg/ml. | |
ELISA Detection Limit Antibody detection limit dilution 1:128000. | |
Western Blot Approx 36kDa band observed in Human Cerebellum and in Mouse, Rat and Pig Brain lysates (calculated MW of 35.6kDa according to Human NP_002706.1). Recommended concentration: 1-3µg/ml. Primary incubation was 1 hour. | |
Application Type Pep-ELISA, WB, IHC |
Goat Anti-PPP2CA / PPP2CB Antibody
$431.00
| SKU | Unit Size | Price |
|---|---|---|
Select a unit size:
Documents |




