Formulation Supplied at 0.5 mg/ml in Tris saline, 0.02% sodium azide, pH7.3 with 0.5% bovine serum albumin.
| |
Unit Size 100 µg | |
Storage Instructions Aliquot and store at -20°C. Minimize freezing and thawing. | |
Synonym / Alias Names PR61A|MGC131915|B56A|protein phosphatase 2, regulatory subunit B\1, alpha isoform|serine/threonine protein phosphatase 2A, 56 kDa regulatory subunit, alpha isoform|PP2A, B subunit, R5 alpha isoform|PP2A, B subunit, PR61 alpha isoform|PP2A, B subunit, B56 alpha isoform|PP2A, B subunit, B\1 alpha isoform|MGC131915|protein phosphatase 2, regulatory subunit B (B56), alpha isoform|PPP2R5A | |
Accession ID NP_006234.1 | |
Blocking Peptide EBP05234 | |
Immunogen Peptide with sequence C-AYNMHSILSNTSAE, from the C Terminus of the protein sequence according to NP_006234.1. | |
Peptide Sequence C-AYNMHSILSNTSAE | |
Purification Method Purified from goat serum by ammonium sulphate precipitation followed by antigen affinity chromatography using the immunizing peptide. | |
Shipping Instructions Refrigerated | |
Predicted Species Human, Rat, Dog, Pig, Cow | |
Reactive Species Human | |
Human Gene ID 5525 | |
Product Grade ![]() | |
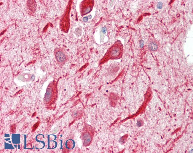
IHC Results Paraffin embedded Human Heart and Brain (Cortex). Recommended concentration: 5µg/ml. | |
ELISA Detection Limit Antibody detection limit dilution 1:32000. | |
Western Blot Approx 55kDa band observed in human heart and skeletal muscle lysate (calculated MW of 56.2kDa according to NP_006234.1). Recommended for use at 0.5-2µg/ml. | |
Application Type Pep-ELISA, WB, IHC |
Goat Anti-PPP2R5A Antibody
$431.00
| SKU | Unit Size | Price |
|---|---|---|
Select a unit size:
Documents |



