Formulation Supplied at 0.5 mg/ml in Tris saline, 0.02% sodium azide, pH7.3 with 0.5% bovine serum albumin.
| |
Unit Size 100 µg | |
Storage Instructions Aliquot and store at -20°C. Minimize freezing and thawing. | |
Synonym / Alias Names PNAS4|PPPDE1|PPPDE peptidase domain containing 1|PNAS-4|FLJ21998|family with sequence similarity 152, member A|FAM152A|CGI-146|C1orf121 | |
Usage Summary Purchase the +ve control! The transfected lysate used to QC this product is available for sale. Please email [email protected] to request datasheet, pricing and delivery information. | |
Accession ID NP_057160.2 | |
Blocking Peptide EBP10317 | |
Immunogen Peptide with sequence C-ELGKEYKGNAYH, from the internal region of the protein sequence according to NP_057160.2. | |
Peptide Sequence C-ELGKEYKGNAYH | |
Purification Method Purified from goat serum by ammonium sulphate precipitation followed by antigen affinity chromatography using the immunizing peptide. | |
Shipping Instructions Refrigerated | |
Predicted Species Human, Mouse, Rat, Dog, Cow, Pig | |
Reactive Species Human | |
Human Gene ID 51029 | |
Mouse Gene ID 78825 | |
Rat Gene ID 289277 | |
Product Grade ![]() | |
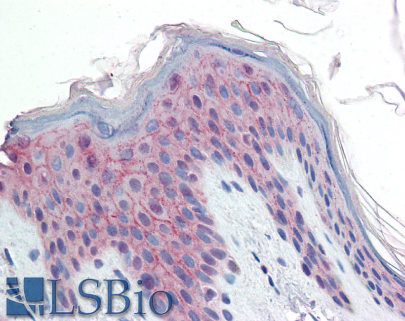
IHC Results Paraffin embedded Human Skin. Recommended concentration: 10µg/ml. | |
ELISA Detection Limit Antibody detection limit dilution 1:32000. | |
Western Blot In transfected HEK293 transiently expressing full-length Human PPPDE1(myc and DYKDDDDK tagged), a band of approx. 30kDa was observed. No bands were observed in mock-transfected HEK293 and the same band was observed using anti-myc tag antibody. Recommended concentration: 0.5-1µg/ml. | |
Application Type Pep-ELISA, WB-Trf, IHC |
Goat Anti-PPPDE1 / PNAS4 Antibody
$431.00
| SKU | Unit Size | Price |
|---|---|---|
Select a unit size:
Selected References [{"pmid": 25918161, "intro": "This antibody has been successfully used in IHC and Western blot on Human:", "title": "PNAS-4, an Early DNA Damage Response Gene, Induces S Phase Arrest and Apoptosis by Activating Checkpoint Kinases in Lung Cancer Cells.", "author": "Yuan Z, Guo W, Yang J, Li L, Wang M, Lei Y, Wan Y, Zhao X, Luo N, Cheng P, Liu X, Nie C, Peng Y, Tong A, Wei Y", "journal": "J Biol Chem. 2015 Jun 12;290(24):14927"}, {"pmid": 30055135, "intro": "This antibody has been successfully used in Western blot on Human:", "title": "Combination of DESI2 and endostatin gene therapy significantly improves antitumor efficacy by accumulating DNA lesions, inducing apoptosis and inhibiting angiogenesis.", "author": "Yan H, Guo W, Li K, Tang M, Zhao X, Lei Y, Nie CL, Yuan Z", "journal": "Exp Cell Res. 2018 Oct 1;371(1):50-62"}, {"pmid": 23322088, "intro": "This antibody has been successfully used on Human:", "title": "hPNAS-4 inhibits proliferation through S phase arrest and apoptosis: underlying action mechanism in ovarian cancer cells.", "author": "Li L, Chen DB, Lin C, Cao K, Wan Y, Zhao XY, Nie CL, Yuan Z, Wei YQ.", "journal": "Apoptosis. 2013 Apr;18(4):467-79."}, {"pmid": 28915590, "intro": "This antibody has been successfully used in Western blot on Mouse:", "title": "Combination of DESI2 and IP10 gene therapy significantly improves therapeutic efficacy against murine carcinoma", "author": "Chao Lin, Hua Ying Yan, Jun Yang, Lei Li, Mei Tang, Xinyu Zhao, Chunlai Nie, Na Luo, Yuquan Wei and Zhu Yuan", "journal": "Oncotarget. 2017 May 5;8(34):56281-56295. "}, {"pmid": 22836062, "intro": "This antibody has been successfully used in Western blot on Human:", "title": "Expression of hPNAS-4 radiosensitizes Lewis lung cancer.", "author": "Zeng H, Yuan Z, Zhu H, Li L, Shi H, Wang Z, Fan Y, Deng Q, Zeng J, He Y, Xiao J, Li Z.", "journal": "Int J Radiat Oncol Biol Phys. 2012 Nov 15;84(4):e533-40."}] |
Documents |


