Goat Anti-PREX1 Antibody

$431.00

SKU Unit Size Price

Select a unit size:


SKU: EB09549
Formulation
Supplied at 0.5 mg/ml in Tris saline, 0.02% sodium azide, pH7.3 with 0.5% bovine serum albumin.
Unit Size
100 µg
Storage Instructions
Aliquot and store at -20°C. Minimize freezing and thawing.
Synonym / Alias Names
PREX1|phosphatidylinositol-3, 4, 5-trisphosphate-dependent Rac exchange factor 1|KIAA1415|P-REX1|OTTHUMP00000031228|phosphatidylinositol 3, 4, 5-trisphosphate-dependent Rac exchanger 1
Accession ID
NP_065871.2
Blocking Peptide
EBP09549
Immunogen
Peptide with sequence C-ERSNLPTDASTTA, from the internal region of the protein sequence according to NP_065871.2.
Peptide Sequence
C-ERSNLPTDASTTA
Purification Method
Purified from goat serum by ammonium sulphate precipitation followed by antigen affinity chromatography using the immunizing peptide.
Shipping Instructions
Refrigerated
Predicted Species
Human, Mouse, Rat, Dog, Cow
Reactive Species
Human
Human Gene ID
57580
Mouse Gene ID
277360
Rat Gene ID
311647
Product Grade
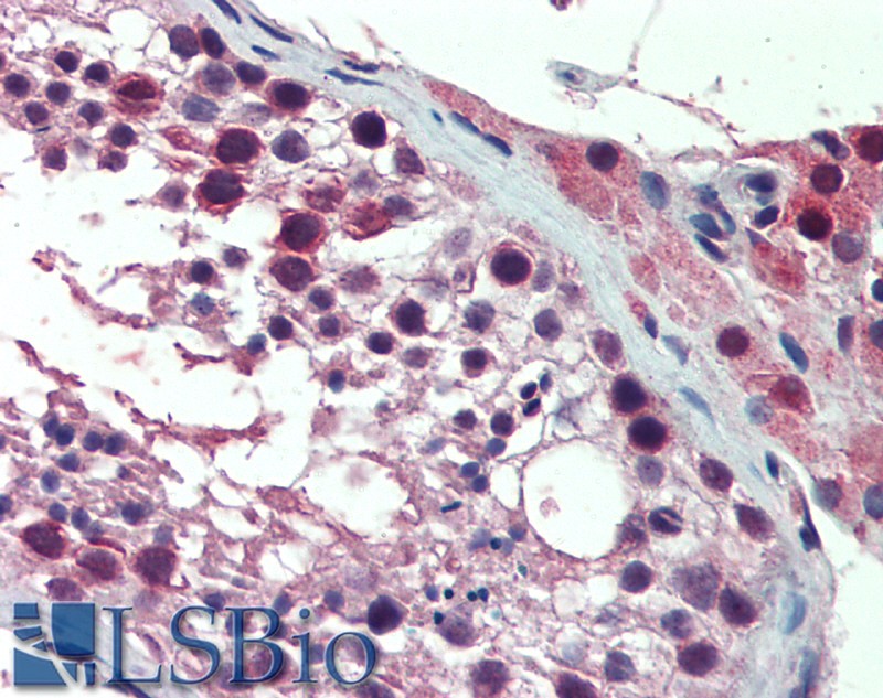
IHC Results
Paraffin embedded Human Testis. Recommended concentration: 10µg/ml.
ELISA Detection Limit
Antibody detection limit dilution 1:16000.
Western Blot
Approx 150kDa band observed in Human Brain (Temporal Cortex) lysates (calculated MW of 186kDa according to NP_065871.2). Recommended concentration: 1-3µg/ml.
Application Type
Pep-ELISA, WB, IHC
Documents