Formulation Supplied at 0.5 mg/ml in Tris saline, 0.02% sodium azide, pH7.3 with 0.5% bovine serum albumin.
| |
Unit Size 100 µg | |
Storage Instructions Aliquot and store at -20°C. Minimize freezing and thawing. | |
Synonym / Alias Names AMPK beta-2 chain|AMPK beta 2|AMP-activated protein kinase beta 2 non-catalytic subunit|5\1-AMP-activated protein kinase, beta-2 subunit|MGC61468|protein kinase, AMP-activated, beta 2 non-catalytic subunit|PRKAB2 | |
Usage Summary Immunofluorescence: Strong expression of the protein seen in the nuclei of MCF7 and A431 cells. Recommended concentration: 10µg/ml.
Flow Cytometry: Flow cytometric analysis of A431 cells. Recommended concentration: 10ug/ml. | |
Accession ID NP_005390.1 | |
Blocking Peptide EBP08470 | |
Immunogen Peptide with sequence C-PYGQEMYAFRSE, from the internal region of the protein sequence according to NP_005390.1. | |
Peptide Sequence C-PYGQEMYAFRSE | |
Purification Method Purified from goat serum by ammonium sulphate precipitation followed by antigen affinity chromatography using the immunizing peptide. | |
Shipping Instructions Refrigerated | |
Predicted Species Human, Mouse, Rat, Cow | |
Reactive Species Human | |
Human Gene ID 5565 | |
Product Grade ![]() | |
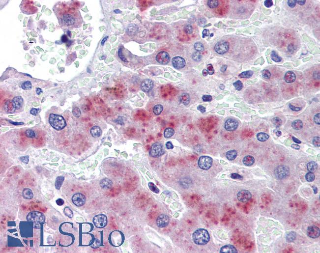
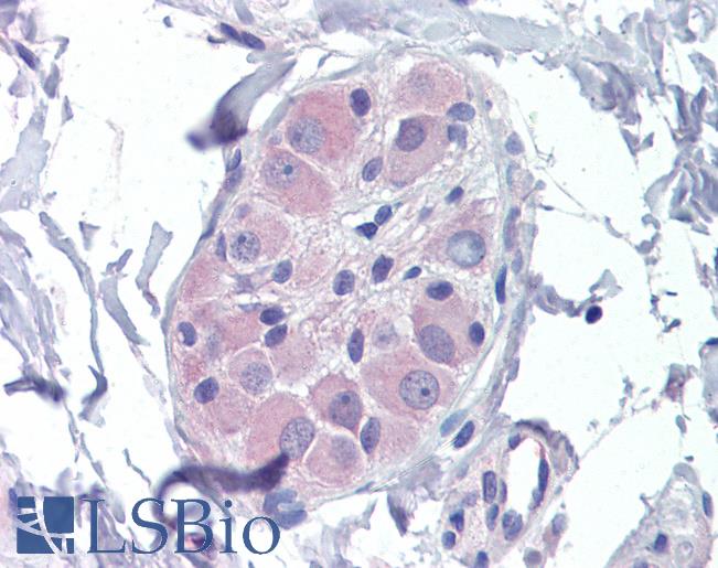
IHC Results Paraffin embedded Human Liver and Small Intestine. Recommended concentration: 3.75µg/ml. | |
ELISA Detection Limit Antibody detection limit dilution 1:8000. | |
Application Type Pep-ELISA, IF, IHC, FC |
Goat Anti-PRKAB2 Antibody
$431.00
| SKU | Unit Size | Price |
|---|---|---|
Select a unit size:





