Formulation Supplied at 0.5 mg/ml in Tris saline, 0.02% sodium azide, pH7.3 with 0.5% bovine serum albumin.
| |
Unit Size 100 µg | |
Storage Instructions Aliquot and store at -20°C. Minimize freezing and thawing. | |
Synonym / Alias Names OTTHUMP00000030192|G protein-coupled receptor 73-like 1|dJ680N4.3|PKR2|KAL3|GPRg2|GPR73b|GPR73L1|prokineticin receptor 2|PROKR2 | |
Accession ID NP_658986.1 | |
Blocking Peptide EBP09682 | |
Immunogen Peptide with sequence C-NGNTSFTPNFN, from the internal region of the protein sequence according to NP_658986.1. | |
Peptide Sequence C-NGNTSFTPNFN | |
Purification Method Purified from goat serum by ammonium sulphate precipitation followed by antigen affinity chromatography using the immunizing peptide. | |
Shipping Instructions Refrigerated | |
Predicted Species Human, Rat | |
Reactive Species Human, Rat | |
Human Gene ID 128674 | |
Rat Gene ID 192649 | |
Product Grade ![]() | |
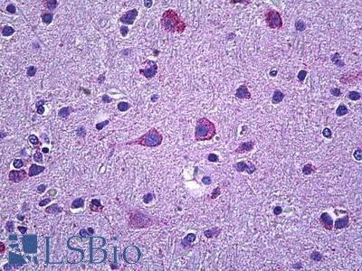
IHC Results Paraffin embedded Human Brain (Cortex). Recommended concentration: 3.75µg/ml. | |
ELISA Detection Limit Antibody detection limit dilution 1:32000. | |
Western Blot Approx 45kDa band observed in Human Brain (Cerebellum), Testis and Thyroid Gland and in Rat Brain, Stomach and Testis lysates (calculated MW of 44.0kDa according to Human NP_658986.1 and 47.9kDa according to Rat NP_620434.1). Recommended concentration: 0.3-1µg/ml. Primary incubation was 1 hour. | |
Application Type Pep-ELISA, WB, IHC |
Goat Anti-PROKR2 Antibody
$431.00
| SKU | Unit Size | Price |
|---|---|---|
Select a unit size:
Documents |



