Formulation Supplied at 0.5 mg/ml in Tris saline, 0.02% sodium azide, pH7.3 with 0.5% bovine serum albumin.
| |
Unit Size 100 µg | |
Storage Instructions Aliquot and store at -20°C. Minimize freezing and thawing. | |
Synonym / Alias Names proopiomelanocortin preproprotein|pro-ACTH-endorphin|met-enkephalin|melanotropin gamma|melanotropin beta|melanotropin alpha|lipotropin gamma|lipotropin beta|gamma-MSH|gamma-LPH|corticotropin-like intermediary peptide|beta-melanocyte-stimulating hormone|beta-MSH|beta-LPH|alpha-melanocyte-stimulating hormone|adrenocorticotropin|adrenocorticotropic hormone|OTTHUMP00000200964|OTTHUMP00000119991|NPP|LPH|Precursor of MSH, POC, ACTH, CLIP, adrenocorticotropin/ beta-lipotropin/ alpha-melanocyte stimulating hormone/ beta-melanocyte stimulating hormone/ beta-endorphin|proopiomelanocortin|POMC | |
Usage Summary Flow Cytometry: Flow cytometric analysis of A431 cells. Recommended concentration: 10ug/ml. | |
Accession ID NP_000930.1; NP_001030333.1 | |
Blocking Peptide EBP06727 | |
Immunogen Peptide with sequence C-NAIIKNAYKKGE, from the C Terminus of the protein sequence according to NP_000930.1; NP_001030333.1. | |
Peptide Sequence C-NAIIKNAYKKGE | |
Purification Method Purified from goat serum by ammonium sulphate precipitation followed by antigen affinity chromatography using the immunizing peptide. | |
Shipping Instructions Refrigerated | |
Predicted Species Human | |
Reactive Species Human | |
Human Gene ID 5443 | |
Product Grade ![]() | |
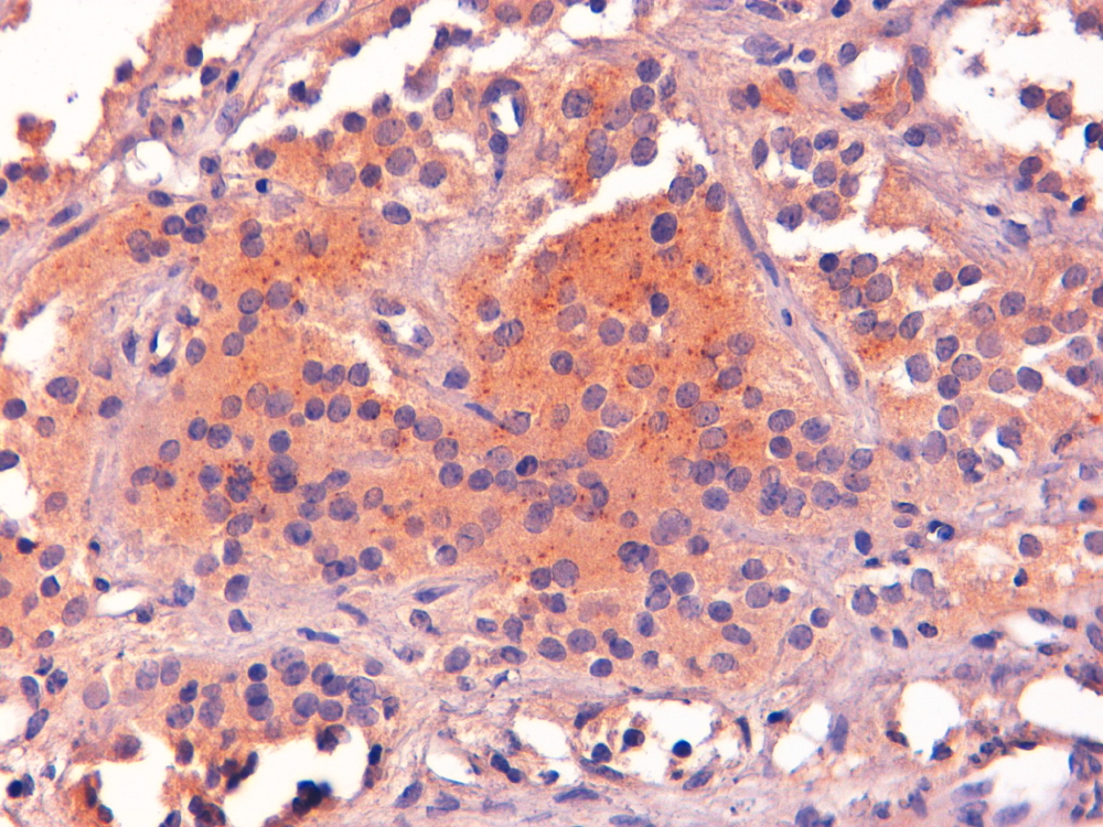
IHC Results In paraffin embedded Human Anterior Pituitary Gland shows vesilulate staining in glandular cells. Recommended concentration: 2-4µg/ml. | |
ELISA Detection Limit Antibody detection limit dilution 1:128000. | |
Western Blot Preliminary testing showed a band at approx 30kDa in A431 cell lysate after 1µg/ml antibody staining (calculated MW of 29.4kDa according to NP_000930.1). Primary incubation 1 hour at room temperature. | |
Application Type Pep-ELISA, IHC, FC |
Goat Anti-Proopiomelanocortin / POMC Antibody
$431.00
| SKU | Unit Size | Price |
|---|---|---|
Select a unit size:
Documents |


