Formulation Supplied at 0.5 mg/ml in Tris saline, 0.02% sodium azide, pH7.3 with 0.5% bovine serum albumin.
| |
Unit Size 100 µg | |
Storage Instructions Aliquot and store at -20°C. Minimize freezing and thawing. | |
Synonym / Alias Names hydroxyprostaglandin dehydrogenase 15-(NAD)|15-PGDH|PGDH1|HPGD|Prostaglandin dehydrogenase 1 | |
Accession ID NP_000851.2 | |
Blocking Peptide EBP06566 | |
Immunogen Peptide with sequence C-DYDTTPFQAKTQ, from the C Terminus of the protein sequence according to NP_000851.2. | |
Peptide Sequence C-DYDTTPFQAKTQ | |
Purification Method Purified from goat serum by ammonium sulphate precipitation followed by antigen affinity chromatography using the immunizing peptide. | |
Shipping Instructions Refrigerated | |
Predicted Species Human | |
Reactive Species Human | |
Human Gene ID 3248 | |
Product Grade ![]() | |
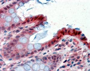
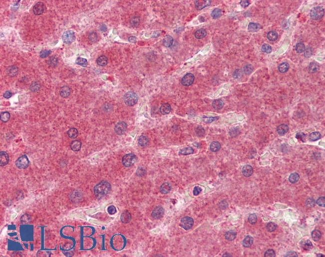
IHC Results Paraffin embedded Human Colon and Liver. Recommended concentration: 2.5µg/ml. | |
ELISA Detection Limit Antibody detection limit dilution 1:128000. | |
Western Blot Experiments gave bands at approx 26kDa and 50kDa in Human Duodenum lysates after 0.1µg/ml antibody staining. These bands correspond to earlier findings in literature with different antibodies (PMID: 11889207). This protein has a calculated MW of 29.0kDa according to NP_000851. Recommended concentration: 0.1-1µg/ml. Primary incubation was 1 hour. | |
Application Type Pep-ELISA, WB, IHC |
Goat Anti-Prostaglandin dehydrogenase 1 Antibody
$431.00
| SKU | Unit Size | Price |
|---|---|---|
Select a unit size:
Documents |



