Formulation Supplied at 0.5 mg/ml in Tris saline, 0.02% sodium azide, pH7.3 with 0.5% bovine serum albumin.
| |
Unit Size 100 µg | |
Storage Instructions Aliquot and store at -20°C. Minimize freezing and thawing. | |
Synonym / Alias Names Psoriasin|psoriasin 1|S100 calcium-binding protein A7 (psoriasin 1)|S100 calcium-binding protein A7|S100A7c|PSOR1|HGNC:10497|S100 calcium binding protein A7 (psoriasin 1)|S100A7 | |
Accession ID NP_002954.1 | |
Blocking Peptide EBP07277 | |
Immunogen Peptide with sequence C-HKYTRRDDKIDKP, from the internal region of the protein sequence according to NP_002954.1. | |
Peptide Sequence C-HKYTRRDDKIDKP | |
Purification Method Purified from goat serum by ammonium sulphate precipitation followed by antigen affinity chromatography using the immunizing peptide. | |
Shipping Instructions Refrigerated | |
Predicted Species Human | |
Reactive Species Human | |
Human Gene ID 6278 | |
Product Grade ![]() | |
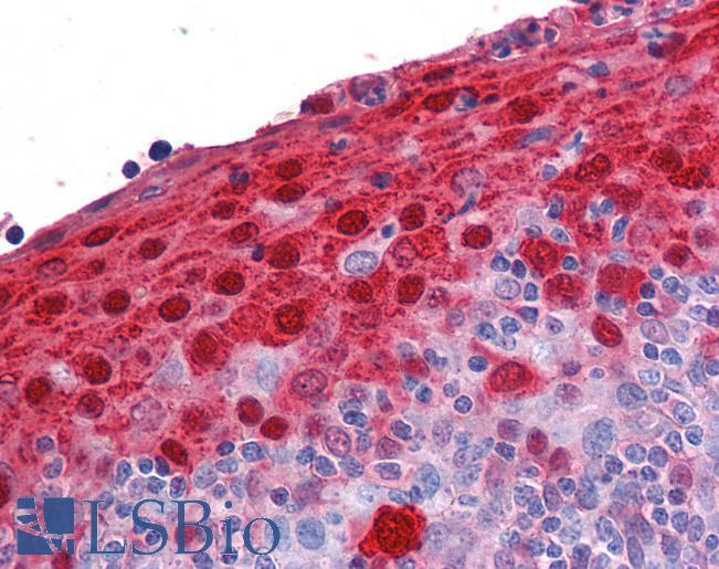
IHC Results Paraffin embedded Human Tonsil. Recommended concentration: 3.75µg/ml. | |
ELISA Detection Limit Antibody detection limit dilution 1:32000. | |
Western Blot Approx 15kDa band observed in Human Skin lysates (calculated MW of 11.5kDa according to NP_002954.1). Recommended concentration: 1-3µg/ml.
In transfected HEK293 transiently expressing full-length Human S100A7 (myc and DYKDDDDK tagged), a band of approx. 16kDa was observed. No bands were observed in mock-transfected HEK293 and the same band was observed using anti-myc tag antibody. Recommended concentration, 0.1-0.5µg/ml.
Approx 15kDa band was also observed in Human Skin lysates (calculated MW of 11.5kDa according to NP_002954.1). Recommended concentration: 0.3-1µg/ml. | |
Application Type Pep-ELISA, WB, IHC |
-
This product has been discontinued.
Goat Anti-Psoriasin / S100A7 Antibody
$423.00
| SKU | Unit Size | Price |
|---|---|---|
Select a unit size:
Documents |



