Formulation Supplied at 0.5 mg/ml in Tris saline, 0.02% sodium azide, pH7.3 with 0.5% bovine serum albumin.
| |
Unit Size 100 µg | |
Storage Instructions Aliquot and store at -20°C. Minimize freezing and thawing. | |
Synonym / Alias Names heterogeneous nuclear ribonucleoprotein I|RNA-binding protein|MGC8461|MGC10830|HNRNP-I|polypyrimidine tract binding protein (heterogeneous nuclear ribonucleoprotein I)|heterogeneous nuclear ribonucleoprotein polypeptide I|RNA binding protein|HNRNPI|PTB-1|HNRPI|pPTB|PTB4|PTB3|PTB2|polypyrimidine tract binding protein 1|PTB|PTBP1 | |
Accession ID NP_002810.1; NP_114367.1; NP_114368.1; NP_787041.1 | |
Blocking Peptide EBP06088 | |
Immunogen Peptide with sequence DGIVPDIAVGTKR-C, from the N Terminus of the protein sequence according to NP_002810.1; NP_114367.1; NP_114368.1; NP_787041.1. | |
Product Comments This antibody is expected to recognise all 4 reported isoforms (represented by NP_002810.1; NP_114367.1; NP_114368.1; NP_787041.1). | |
Peptide Sequence DGIVPDIAVGTKR-C | |
Purification Method Purified from goat serum by ammonium sulphate precipitation followed by antigen affinity chromatography using the immunizing peptide. | |
Shipping Instructions Refrigerated | |
Predicted Species Human, Mouse, Rat, Dog, Pig, Cow | |
Reactive Species Human, Mouse, Rat | |
Mouse Gene ID 19205 | |
Rat Gene ID 29497 | |
Product Grade ![]() | |
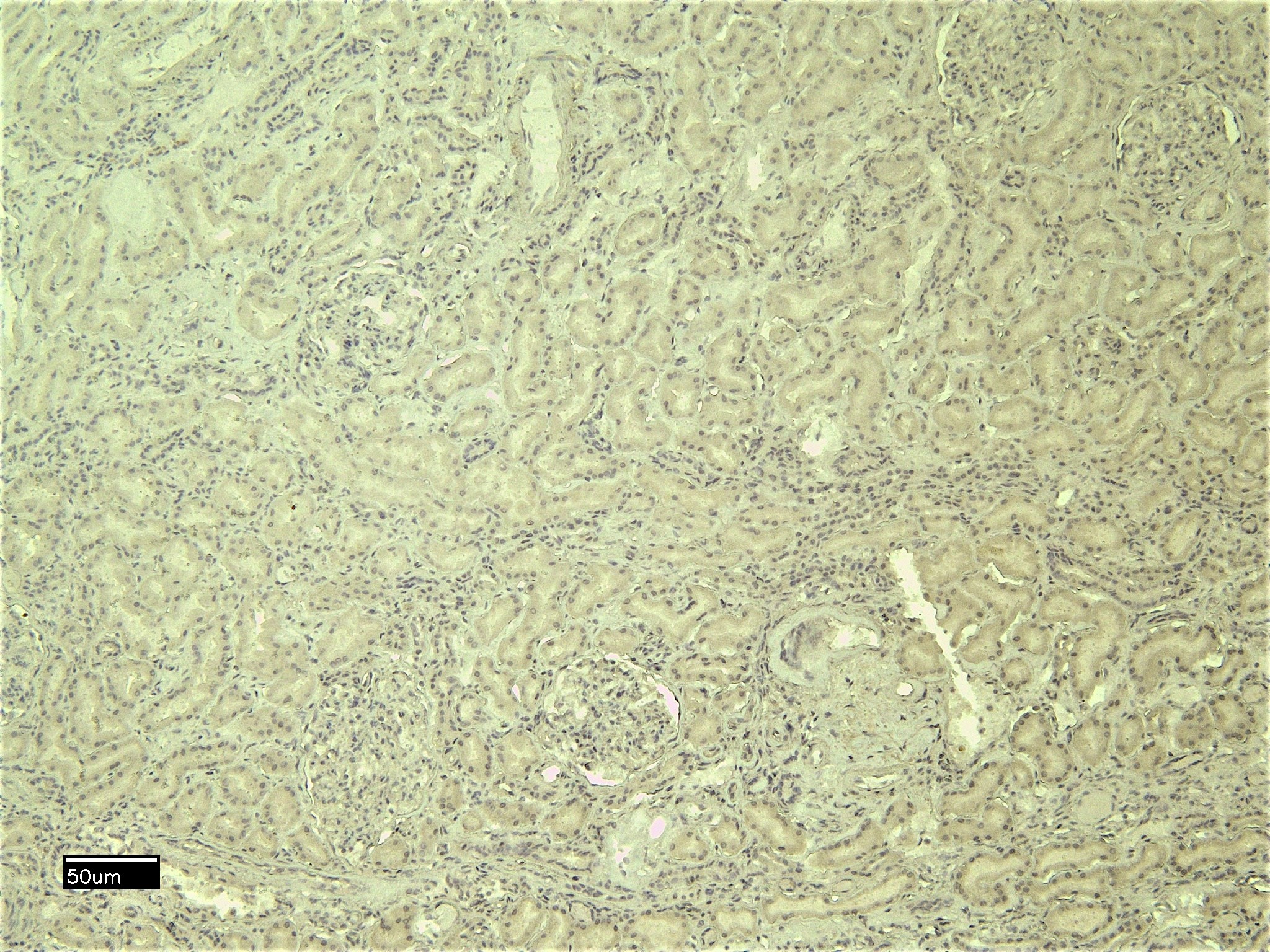
IHC Results Paraffin embedded Human Kidney. Recommended concentration: 4-6µg/ml. | |
ELISA Detection Limit Antibody detection limit dilution 1:128000. | |
Western Blot Approx 55kDa band observed in Mouse Ovary lysates and in lysates of cell line NIH3T3, K562, KNRK and Nuclear Jurkat (calculated MW of 57.2kDa according to Human NP_114368.1 and 56.9kDa according to Mouse NP_032982.2 and Rat NP_071961.2). Recommended concentration: 0.001-0.01µg/ml. Primary incubation 1 hour at room temperature. | |
Application Type Pep-ELISA, WB, IHC |
Goat Anti-PTBP1 / PTB Antibody
$431.00
| SKU | Unit Size | Price |
|---|---|---|
Select a unit size:
Documents |




