Formulation Supplied at 0.5 mg/ml in Tris saline, 0.02% sodium azide, pH7.3 with 0.5% bovine serum albumin.
| |
Unit Size 100 µg | |
Storage Instructions Aliquot and store at -20°C. Minimize freezing and thawing. | |
Synonym / Alias Names microsomal prostaglandin E synthase-2|membrane-associated prostaglandin E synthase 2|gamma-interferon-activated transcriptional element-binding factor 1|GATE-binding factor 1|mPGES-2|PGES2|GBF1|GBF-1|C9orf15|prostaglandin E synthase 2|PTGES2 | |
Accession ID NP_079348.1; NP_945176.1 | |
Blocking Peptide EBP12928 | |
Immunogen Peptide with sequence C-RLKSRHRLQDNVRED, from the internal region of the protein sequence according to NP_079348.1; NP_945176.1. | |
Product Comments This antibody is expected to recognize both reported isoforms (NP_079348.1; NP_945176.1). Reported variants represent identical protein: NP_001243264.1, NP_945176.1. | |
Peptide Sequence C-RLKSRHRLQDNVRED | |
Purification Method Purified from goat serum by ammonium sulphate precipitation followed by antigen affinity chromatography using the immunizing peptide. | |
Shipping Instructions Refrigerated | |
Predicted Species Human | |
Reactive Species Human | |
Human Gene ID 80142 | |
Product Grade ![]() | |
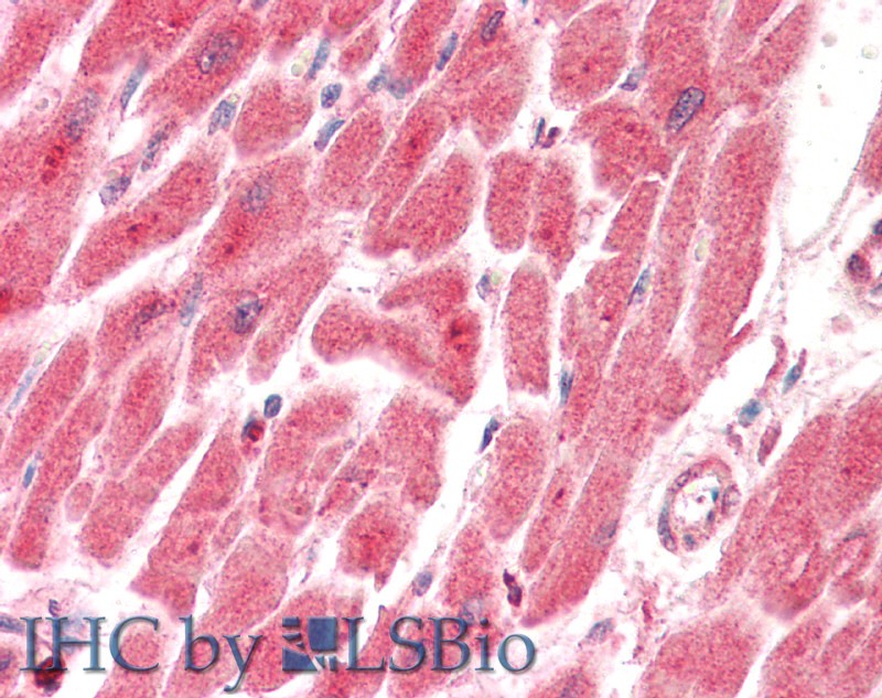
IHC Results Paraffin embedded Human Brain (Cortex) and Heart. Recommended concentration: 5µg/ml. | |
ELISA Detection Limit Antibody detection limit dilution 1:128000. | |
Western Blot Approx 30kDa band observed in lysates of cell line HeLa (calculated MW of 41.9kDa according to NP_079348.1). This molecular weight is routinely observed by other sources. Recommended concentration: 1-3µg/ml. | |
Application Type Pep-ELISA, WB, IHC |
Goat Anti-PTGES2 (aa292-306) Antibody
$431.00
| SKU | Unit Size | Price |
|---|---|---|
Select a unit size:
Documents |



