Formulation Supplied at 0.5 mg/ml in Tris saline, 0.02% sodium azide, pH7.3 with 0.5% bovine serum albumin.
| |
Unit Size 100 µg | |
Storage Instructions Aliquot and store at -20°C. Minimize freezing and thawing. | |
Synonym / Alias Names PTPRM|protein tyrosine phosphatase, receptor type, M|MGC166994|PTPRL1|R-PTP-MU|RPTPM|RPTPU|hR-PTPu|protein tyrosine phosphatase mu|protein tyrosine phosphatase, receptor type, mu polypeptide | |
Accession ID NP_001098714.1; NP_002836.3 | |
Blocking Peptide EBP08229 | |
Immunogen Peptide with sequence C-KLIRQVDKWQEEYN, from the internal region of the protein sequence according to NP_001098714.1; NP_002836.3. | |
Product Comments This antibody is expected to recognise both reported isoforms (NP_001098714.1 and NP_002836.3). | |
Peptide Sequence C-KLIRQVDKWQEEYN | |
Purification Method Purified from goat serum by ammonium sulphate precipitation followed by antigen affinity chromatography using the immunizing peptide. | |
Shipping Instructions Refrigerated | |
Predicted Species Human, Mouse, Dog | |
Reactive Species Human | |
Human Gene ID 5797 | |
Product Grade ![]() | |
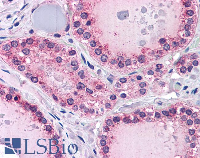
IHC Results Paraffin embedded Human Uterus and Thyroid. Recommended concentration: 3.75µg/ml. | |
ELISA Detection Limit Antibody detection limit dilution 1:16000. | |
Western Blot Preliminary experiments gave bands at approx 110kDa and 16kDa in Rat Retina lysates after 0.1µg/ml antibody staining. Please note that currently we cannot find an explanation in the literature for the bands we observe given the calculated size of 165kDa according to Human NP_001098714.1. Both detected bands were successfully blocked by incubation with the immunizing peptide (and BLAST results with the immunizing peptide sequence did not identify any other proteins to explain the additional bands). | |
Application Type Pep-ELISA, IHC |
Goat Anti-PTPRM Antibody
$431.00
| SKU | Unit Size | Price |
|---|---|---|
Select a unit size:
Documents |


