Formulation Supplied at 0.5 mg/ml in Tris saline, 0.02% sodium azide, pH7.3 with 0.5% bovine serum albumin.
| |
Unit Size 100 µg | |
Storage Instructions Aliquot and store at -20°C. Minimize freezing and thawing. | |
Synonym / Alias Names steroid and xenobiotic receptor|pregnane X receptor|orphan nuclear receptor|SXR|SAR|PRR|PARq|PAR2|PAR1|PAR|ONR1|BXR|nuclear receptor subfamily 1, group I, member 2|NR1I2|PXR | |
Accession ID NP_003880.3; NP_071285.1; NP_148934.1 | |
Blocking Peptide EBP09172 | |
Immunogen Peptide with sequence EQFAITLKSYIECNR, from the internal region of the protein sequence according to NP_003880.3; NP_071285.1; NP_148934.1. | |
Product Comments This antibody is expected to recognize all reported isoforms (NP_071285.1; NP_148934.1; NP_003880.3). | |
Peptide Sequence EQFAITLKSYIECNR | |
Purification Method Purified from goat serum by ammonium sulphate precipitation followed by antigen affinity chromatography using the immunizing peptide. | |
Shipping Instructions Refrigerated | |
Predicted Species Human | |
Reactive Species Human | |
Human Gene ID 8856 | |
Product Grade ![]() | |
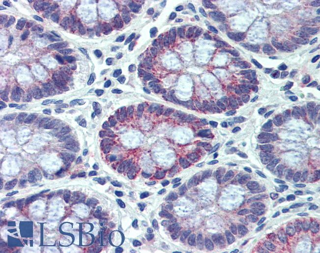
IHC Results Paraffin embedded Human Small Intestine. Recommended concentration: 3.75µg/ml. | |
ELISA Detection Limit Antibody detection limit dilution 1:4000. | |
Western Blot Approx. 48kDa band observed in lysates of cell line HepG2 (calculated MW of 49.8kDa according to NP_003880.3). Recommended concentration: 1-3µg/ml.
An additional band of unknown identity was also consistently observed at 35kDa. This band was successfully blocked by incubation with the immunizing peptide. Primary incubation was 1 hour. | |
Application Type Pep-ELISA, WB, IHC |
Goat Anti-PXR / NR1I2 Antibody
$431.00
| SKU | Unit Size | Price |
|---|---|---|
Select a unit size:
Documents |


