Formulation Supplied at 0.5 mg/ml in Tris saline, 0.02% sodium azide, pH7.3 with 0.5% bovine serum albumin.
| |
Unit Size 100 µg | |
Storage Instructions Aliquot and store at -20°C. Minimize freezing and thawing. | |
Synonym / Alias Names OTTHUMP00000166110|MGC126077|MGC126076|MGC117333|RP4-800J21.2|migration-inducing gene 14|mRNA-binding protein, 41-kD|mRNA-associated protein MRNP 41|mRNA export protein|homolog of yeast Rae1 (Bharathi) mRNA-associated protein of 41 kDa (Kraemer)|RAE1 (RNA export 1, S.pombe) homolog|dJ800J21.1|dJ481F12.3|Mnrp41|MRNP41|MIG14|FLJ30608|HGNC:9828|RAE1 RNA export 1 homolog (S. pombe)|RAE1 | |
Accession ID NP_003601.1; NP_001015885.1 | |
Blocking Peptide EBP06838 | |
Immunogen Peptide with sequence C-NAAEELKPRNKK, from the C Terminus of the protein sequence according to NP_003601.1; NP_001015885.1. | |
Product Comments NP_003601and NP_001015885 represent identical proteins. | |
Peptide Sequence C-NAAEELKPRNKK | |
Purification Method Purified from goat serum by ammonium sulphate precipitation followed by antigen affinity chromatography using the immunizing peptide. | |
Shipping Instructions Refrigerated | |
Predicted Species Human, Mouse, Rat, Pig, Dog, Cow | |
Reactive Species Human | |
Human Gene ID 8480 | |
Product Grade ![]() | |
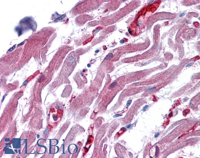
IHC Results In paraffin embedded Human Brain Cortex shows staining of neuronal cell bodies. Recommended concentration: 3-6µg/ml. Paraffin embedded Human Heart. Recommended concentration: 3.75µg/ml. | |
ELISA Detection Limit Antibody detection limit dilution 1:64000. | |
Western Blot Approx 40kDa band observed in lysates cell lines HepG2, HeLa, Jurkat and MCF7 (calculated MW of 41.0kDa according to NP_003601.1). Recommended concentration: 0.1-0.3µg/ml. | |
Application Type Pep-ELISA, WB, IHC |
Goat Anti-RAE1 Antibody
$431.00
| SKU | Unit Size | Price |
|---|---|---|
Select a unit size:
Documents |



