Formulation Supplied at 0.5 mg/ml in Tris saline, 0.02% sodium azide, pH7.3 with 0.5% bovine serum albumin.
| |
Unit Size 100 µg | |
Storage Instructions Aliquot and store at -20°C. Minimize freezing and thawing. | |
Synonym / Alias Names t cell-specific protein P228|small-inducible cytokine A5|small inducible cytokine subfamily A (Cys-Cys), member 5|small inducible cytokine A5 (RANTES)|regulated upon activation, normally T-expressed, and presumably secreted|eosinophil chemotactic cytokine|eoCP|beta-chemokine RANTES|T-cell-specific protein RANTES|T-cell specific protein p288|SIS-delta|C-C motif chemokine 5|TCP228|SISd|SCYA5|RANTES|D17S136E|chemokine (C-C motif) ligand 5|CCL5 | |
Accession ID NP_002976.2 | |
Blocking Peptide EBP11961 | |
Immunogen Peptide with sequence C-RPLPRAHIKE, from the internal region of the protein sequence according to NP_002976.2. | |
Peptide Sequence C-RPLPRAHIKE | |
Purification Method Purified from goat serum by ammonium sulphate precipitation followed by antigen affinity chromatography using the immunizing peptide. | |
Shipping Instructions Refrigerated | |
Predicted Species Human | |
Reactive Species Human | |
Human Gene ID 6352 | |
Product Grade ![]() | |
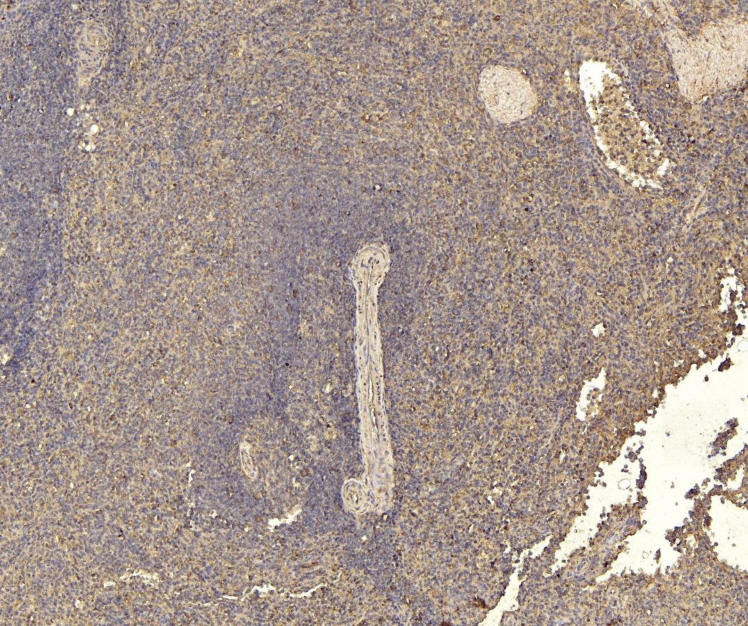
IHC Results Paraffin embedded Human Spleen. Recommended concentration: 5-6µg/ml. | |
ELISA Detection Limit Antibody detection limit dilution 1:128000. | |
Application Type Pep-ELISA, IHC |
Goat Anti-RANTES Antibody
$423.00
| SKU | Unit Size | Price |
|---|---|---|
Select a unit size:


