Formulation Supplied at 0.5 mg/ml in Tris saline, 0.02% sodium azide, pH7.3 with 0.5% bovine serum albumin.
| |
Unit Size 100 µg | |
Storage Instructions Aliquot and store at -20°C. Minimize freezing and thawing. | |
Synonym / Alias Names rasfadin|Ras association domain family 2|DKFZp781O1747N: KIAA0168|Ras association (RalGDS/AF-6) domain family 2|RASSF2 | |
Accession ID NP_055552.1; NP_739580.1 | |
Blocking Peptide EBP08511 | |
Immunogen Peptide with sequence PCGQDKYISKNE, from the N Terminus of the protein sequence according to NP_055552.1; NP_739580.1. | |
Product Comments Reported variants represent identical protein: NP_055552.1; NP_739580.1. | |
Peptide Sequence PCGQDKYISKNE | |
Purification Method Purified from goat serum by ammonium sulphate precipitation followed by antigen affinity chromatography using the immunizing peptide. | |
Shipping Instructions Refrigerated | |
Predicted Species Human, Cow | |
Reactive Species Human | |
Human Gene ID 9770 | |
Product Grade ![]() | |
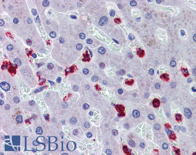
IHC Results Paraffin embedded Human Spleen, Thymus and Liver. Recommended concentration: 3.75µg/ml. | |
ELISA Detection Limit Antibody detection limit dilution 1:16000. | |
Application Type Pep-ELISA, IHC |
Goat Anti-RASSF2 Antibody
$431.00
| SKU | Unit Size | Price |
|---|---|---|
Select a unit size:
Selected References [{"pmid": 26284587, "intro": "This antibody has been successfully used in IHC and IF in Human:", "title": "Differential involvement of RASSF2 hypermethylation in breast cancer subtypes and their prognosis.", "author": "Perez-Janices N, Blanco-Luquin I, Torrea N, Liechtenstein T, Escors D, Cordoba A, Vicente-Garcia F, Jauregui I, De La Cruz S, Illarramendi JJ, Coca V, Berdasco M, Kochan G, Ibañez B, Lera JM, Guerrero-Setas D.", "journal": "Oncotarget. 2015 Sep 15;6(27):23944-58."}] |
Documents |



