Formulation Supplied at 0.5 mg/ml in Tris saline, 0.02% sodium azide, pH7.3 with 0.5% bovine serum albumin.
| |
Unit Size 100 µg | |
Storage Instructions Aliquot and store at -20°C. Minimize freezing and thawing. | |
Synonym / Alias Names heparin-binding protein HBp15|heparin-binding protein 15|Epstein-Barr-encoded RNA-associated protein|Epstein-Barr virus small RNA-associated protein|EBER-associated protein|60S ribosomal protein L22|HBP15/L22|HBP15|EAP|ribosomal protein L22|RPL22 | |
Accession ID NP_000974.1 | |
Blocking Peptide EBP08104 | |
Immunogen Peptide with sequence C-SKESYELRYFQINQ, from the C Terminus of the protein sequence according to NP_000974.1. | |
Peptide Sequence C-SKESYELRYFQINQ | |
Purification Method Purified from goat serum by ammonium sulphate precipitation followed by antigen affinity chromatography using the immunizing peptide. | |
Shipping Instructions Refrigerated | |
Predicted Species Human, Mouse, Rat | |
Reactive Species Human | |
Human Gene ID 6146 | |
Mouse Gene ID 19934 | |
Rat Gene ID 81768 | |
Product Grade ![]() | |
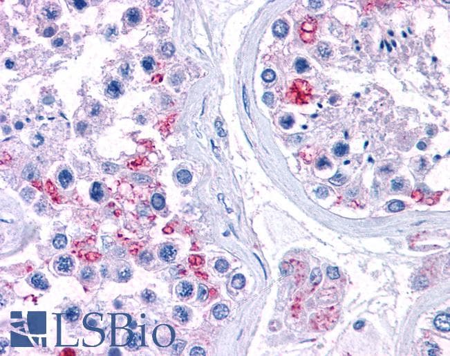
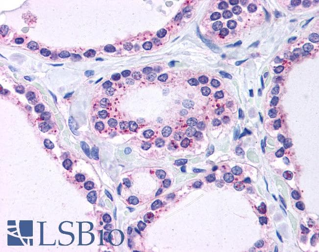
IHC Results In paraffin embedded Human Brain (Cortex) shows cytoplasm staining in neuronal bodies. Recommended concentration: 3-6µg/ml. Paraffin embedded Human Thyroid, Uterus and Testis. Recommended concentration: 3.75µg/ml. | |
ELISA Detection Limit Antibody detection limit dilution 1:16000. | |
Western Blot Preliminary experiments gave bands at approx 17-18kDa and 25kDa in Human Liver lysates after 0.5µg/ml antibody staining. Please note that currently we cannot find an explanation in the literature for the bands we observe given the calculated size of 14.8kDa according to NP_000974.1. Both detected bands were successfully blocked by incubation with the immunizing peptide (and BLAST results with the immunizing peptide sequence did not identify any other proteins to explain the additional bands). This batch is not expected to cross-react with Mouse and Rat in Western blot. | |
Application Type Pep-ELISA, IHC |
Goat Anti-Ribosomal protein L22 Antibody
$431.00
| SKU | Unit Size | Price |
|---|---|---|
Select a unit size:
Documents |




