Formulation Supplied at 0.5 mg/ml in Tris saline, 0.02% sodium azide, pH7.3 with 0.5% bovine serum albumin.
| |
Unit Size 100 µg | |
Storage Instructions Aliquot and store at -20°C. Minimize freezing and thawing. | |
Synonym / Alias Names RNF36|hCG_39321|tripartite motif protein 69|trimless|ring finger protein 36|Trif|RNF36|HSD34|tripartite motif-containing 69|TRIM69 | |
Accession ID NP_892030.3; NP_542783.2 | |
Blocking Peptide EBP05894 | |
Immunogen Peptide with sequence C-GENKEPLHILHPQ, from the C Terminus of the protein sequence according to NP_892030.3; NP_542783.2. | |
Product Comments This antibody is expected to recognize both reported isoforms (NP_892030.3; NP_542783.2). | |
Peptide Sequence C-GENKEPLHILHPQ | |
Purification Method Purified from goat serum by ammonium sulphate precipitation followed by antigen affinity chromatography using the immunizing peptide. | |
Shipping Instructions Refrigerated | |
Predicted Species Human, Mouse, Rat, Dog, Pig, Cow | |
Reactive Species Human, Mouse | |
Human Gene ID 140691 | |
Product Grade ![]() | |
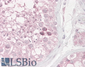
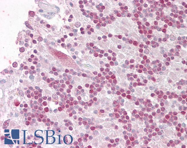
IHC Results Paraffin embedded Human Testis and Brain (Cerebellum). Recommended concentration: 2.5µg/ml. | |
ELISA Detection Limit Antibody detection limit dilution 1:32000. | |
Western Blot Approx 55kDa band observed in Mouse Testis lysates (calculated MW of 57.3kDa according to Mouse NP_536771.2). Recommended concentration: 0.5-2µg/ml. | |
Application Type Pep-ELISA, WB, IHC |
Goat Anti-RNF36 / TRIM69 Antibody
$431.00
| SKU | Unit Size | Price |
|---|---|---|
Select a unit size:
Documents |



