Formulation Supplied at 0.5 mg/ml in Tris saline, 0.02% sodium azide, pH7.3 with 0.5% bovine serum albumin.
| |
Unit Size 100 µg | |
Storage Instructions Aliquot and store at -20°C. Minimize freezing and thawing. | |
Synonym / Alias Names 40S ribosomal protein S19|DBA|HGNC:10402|ribosomal protein S19|RPS19 | |
Accession ID NP_001013.1 | |
Blocking Peptide EBP07023 | |
Immunogen Peptide with sequence C-KMVEKDQDGGRK, from the internal region of the protein sequence according to NP_001013.1. | |
Peptide Sequence C-KMVEKDQDGGRK | |
Purification Method Purified from goat serum by ammonium sulphate precipitation followed by antigen affinity chromatography using the immunizing peptide. | |
Shipping Instructions Refrigerated | |
Predicted Species Human, Mouse, Rat, Dog, Cow | |
Reactive Species Human | |
Human Gene ID 6223 | |
Product Grade ![]() | |
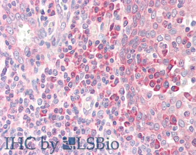
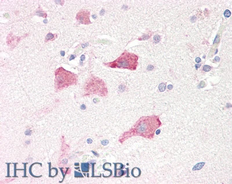
IHC Results Paraffin embedded Human Brain (Cortex), Liver and Tonsil. Recommended concentration: 5µg/ml. | |
ELISA Detection Limit Antibody detection limit dilution 1:16000. | |
Western Blot Approx 16kDa band observed in lysate of cell line K562 (calculated MW of 16.1kDa according to NP_001013.1). Recommended concentration: 0.3-1µg/ml. Primary incubation was 1 hour. | |
Application Type Pep-ELISA, WB, IHC |
Goat Anti-RPS19 Antibody
$431.00
| SKU | Unit Size | Price |
|---|---|---|
Select a unit size:
Documents |




