Formulation Supplied at 0.5 mg/ml in Tris saline, 0.02% sodium azide, pH7.3 with 0.5% bovine serum albumin.
| |
Unit Size 100 µg | |
Storage Instructions Aliquot and store at -20°C. Minimize freezing and thawing. | |
Accession ID NP_116173.2 | |
Blocking Peptide EBP13098 | |
Immunogen Peptide with sequence SGYYGTRYPDINKC, from the N Terminus of the protein sequence according to NP_116173.2. | |
Peptide Sequence SGYYGTRYPDINKC | |
Purification Method Purified from goat serum by ammonium sulphate precipitation followed by antigen affinity chromatography using the immunizing peptide. | |
Shipping Instructions Refrigerated | |
Predicted Species Human, Mouse, Rat | |
Reactive Species Human, Mouse, Rat | |
Human Gene ID 84870 | |
Product Grade ![]() | |
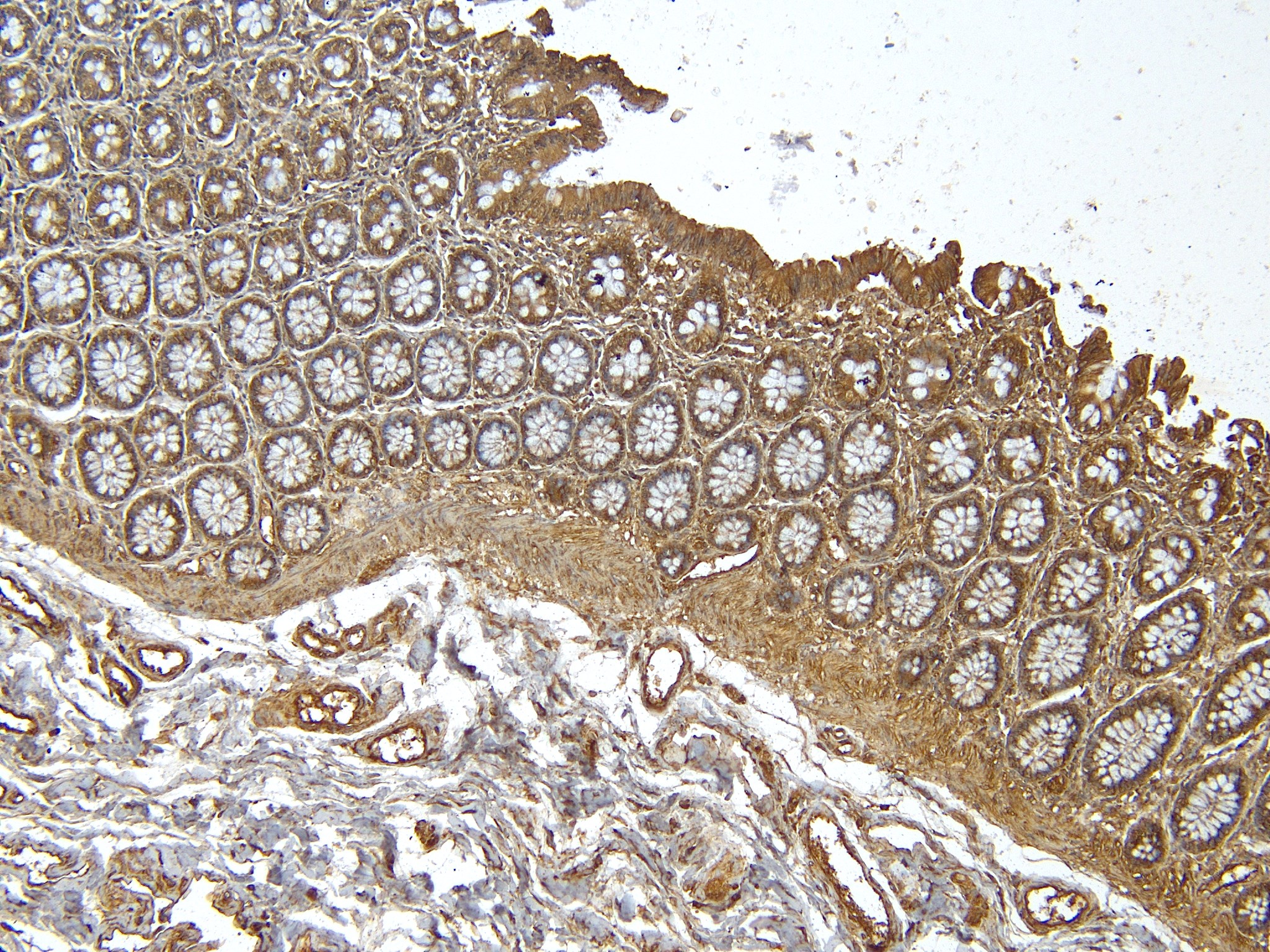
IHC Results Paraffin embedded Human Colon. Recommended concentration: 4-6µg/ml. Positive staining was also seen in paraffin embedded Human Kidney at 4ug/ml. | |
ELISA Detection Limit Antibody detection limit dilution 1:128000. | |
Western Blot Approx 37kDa band observed in lysates of cell lines HeLa, U2OS, A549 and KNRK, and in Mouse Brain lysates (calculated MW of 30.9kDa according to Human NP_116173.2, and 31.4kDa according to Mouse NP_082627.3, and Rat NP_001094460.1). This molecular weight is observed by other sources, and was successfully blocked by incubation with the immunising peptide. Recommended concentration: 0.1-0.3ug//ml. Primary incubation 1 hour at room temperature. | |
Application Type Pep-ELISA, WB, IHC |
Goat Anti-RSPO3 Antibody
$431.00
| SKU | Unit Size | Price |
|---|---|---|
Select a unit size:




