Formulation Supplied at 0.5 mg/ml in Tris saline, 0.02% sodium azide, pH7.3 with 0.5% bovine serum albumin.
| |
Unit Size 100 µg | |
Storage Instructions Aliquot and store at -20°C. Minimize freezing and thawing. | |
Synonym / Alias Names SAR1a gene homolog 1|OTTHUMP00000060603|masra2|Sara|SARA1|SAR1|SAR1 gene homolog A (S. cerevisiae)|SAR1A | |
Accession ID NP_064535.1 | |
Blocking Peptide EBP08906 | |
Immunogen Peptide with sequence C-HSRLVESKVELNA, from the internal region of the protein sequence according to NP_064535.1. | |
Peptide Sequence C-HSRLVESKVELNA | |
Purification Method Purified from goat serum by ammonium sulphate precipitation followed by antigen affinity chromatography using the immunizing peptide. | |
Shipping Instructions Refrigerated | |
Predicted Species Human, Mouse, Rat | |
Reactive Species Mouse, Human | |
Human Gene ID 56681 | |
Mouse Gene ID 20224 | |
Rat Gene ID 361842 | |
Product Grade ![]() | |
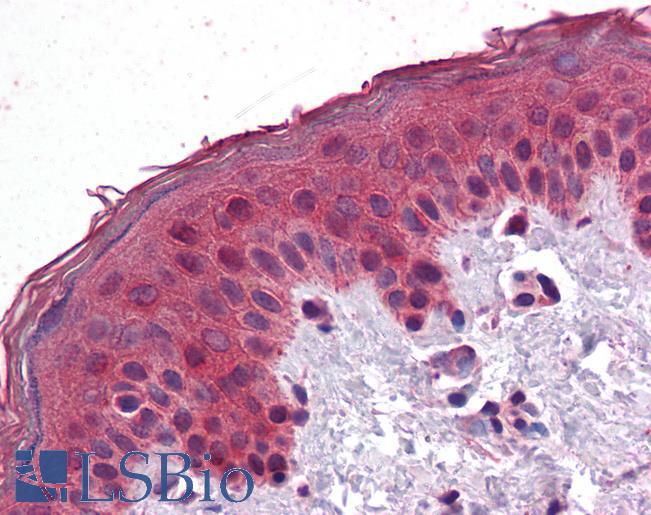
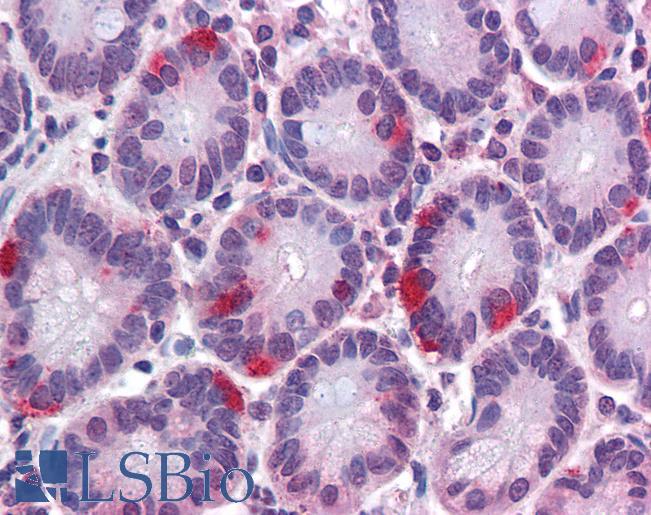
IHC Results Paraffin embedded Human Skin and Small Intestine. Recommended concentration: 3.75µg/ml. | |
ELISA Detection Limit Antibody detection limit dilution 1:32000. | |
Western Blot Approx. 23 kDa band observed in lysates of NIH3T3 (calculated MW of 22.4 kDa according to Human NP_064535.1 and to Mouse NP_033146.1). Recommended concentration: 0.1-0.3µg/ml. Primary incubation was 1 hour. | |
Application Type Pep-ELISA, WB, IHC |
Goat Anti-SAR1 Antibody
$431.00
| SKU | Unit Size | Price |
|---|---|---|
Select a unit size:
Documents |



