Formulation Supplied at 0.5 mg/ml in Tris saline, 0.02% sodium azide, pH7.3 with 0.5% bovine serum albumin.
| |
Unit Size 100 µg | |
Storage Instructions Aliquot and store at -20°C. Minimize freezing and thawing. | |
Synonym / Alias Names stromal cell-derived factor 4| calcium binding protein| SDF-4| OTTHUMP00000001754| 45 kDa calcium-binding protein| Cab45| stromal cell derived factor 4|SDF4 | |
Usage Summary Immunofluorescence: Strong expression of the protein seen in the golgi and cytoplasm of U2OS cells. Recommended concentration: 10µg/ml.
Flow Cytometry: Flow cytometric analysis of A431 cells. Recommended concentration: 10ug/ml. | |
Accession ID NP_057631.2; NP_057260.3 | |
Blocking Peptide EBP10744 | |
Immunogen Peptide with sequence C-EYKVKFLASKGHSEK, from the internal region of the protein sequence according to NP_057631.2; NP_057260.3. | |
Product Comments This antibody is expected to recognize both reported isoforms NP_057631.2; and NP_057260.3 | |
Peptide Sequence C-EYKVKFLASKGHSEK | |
Purification Method Purified from goat serum by ammonium sulphate precipitation followed by antigen affinity chromatography using the immunizing peptide. | |
Shipping Instructions Refrigerated | |
Predicted Species Human, Mouse, Rat, Dog, Cow | |
Reactive Species Human | |
Human Gene ID 51150 | |
Mouse Gene ID 20318 | |
Rat Gene ID 155173 | |
Product Grade ![]() | |
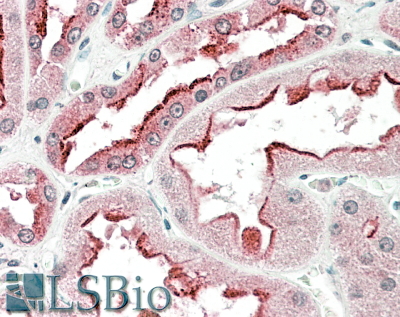
IHC Results In paraffin embedded Human Kidney shows preferential staining in the brush borders of epithelial cells. Recommended concentration: 5-10µg/ml. | |
ELISA Detection Limit Antibody detection limit dilution 1:64000. | |
Western Blot Approx 45kDa band observed in lysates of cell lines Jurkat, HeLa and U251 (calculated MW of 41.8kDa according to NP_057260.2). Recommended concentration: 0.1-0.3µg/ml. Primary incubation 1 hour at room temperature. | |
Application Type Pep-ELISA, WB, IHC, IF, FC |
Goat Anti-SDF4 (aa161-175) Antibody
$431.00
| SKU | Unit Size | Price |
|---|---|---|
Select a unit size:
Documents |




