Formulation Supplied at 0.5 mg/ml in Tris saline, 0.02% sodium azide, pH7.3 with 0.5% bovine serum albumin.
| |
Unit Size 100 µg | |
Storage Instructions Aliquot and store at -20°C. Minimize freezing and thawing. | |
Synonym / Alias Names truncated receptor, containing only 3 transmembrane domains|Serotonin-gated ion channel receptor|5HT3 serotonin receptor|5-hydroxytryptamine (serotonin) receptor-3|HTR3|5HT3R|5-HT3R|5-HT3A|5-HT-3|5-hydroxytryptamine (serotonin) receptor 3A|serotonin receptor|HTR3A | |
Usage Summary Immunocytochemistry:This product has been successfully used in ICC on Rat: Lu CL et al, Gastroenterology. 2009 Sep;137(3):1040-50. PMID: 19344720.
Flow Cytometry: Flow cytometric analysis of HeLa cells. Recommended concentration: 10ug/ml. | |
Accession ID NP_998786.3 NP_000860.3; NP_001155244.1 | |
Blocking Peptide EBP07328 | |
Immunogen Peptide with sequence C-GPQDFEKSPRDR, from the internal region of the protein sequence according to NP_998786.3 NP_000860.3; NP_001155244.1. | |
Product Comments This antibody is expected to recognise all three reported isoforms | |
Peptide Sequence C-GPQDFEKSPRDR | |
Purification Method Purified from goat serum by ammonium sulphate precipitation followed by antigen affinity chromatography using the immunizing peptide. | |
Shipping Instructions Refrigerated | |
Predicted Species Human | |
Reactive Species Human, Rat | |
Human Gene ID 3359 | |
Product Grade ![]() | |
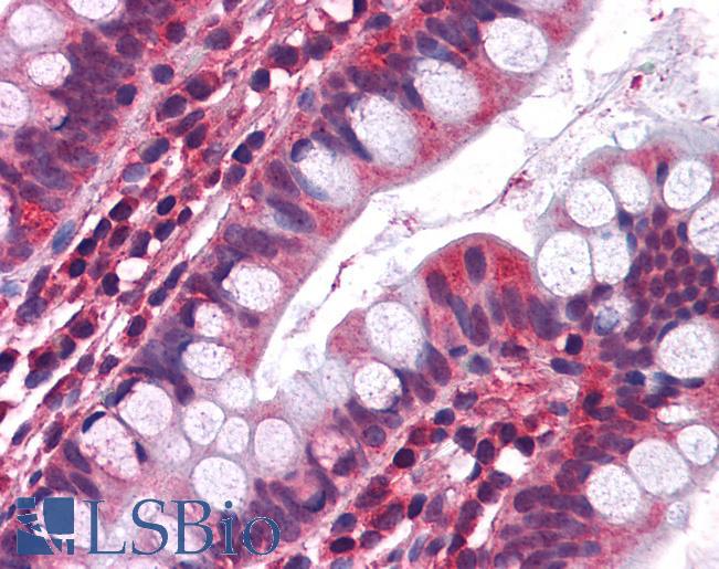
IHC Results Paraffin embedded Human Small Intestine. Recommended concentration: 3.75µg/ml. | |
ELISA Detection Limit Antibody detection limit dilution 1:128000. | |
Application Type Pep-ELISA, FC, IHC, ICC |
Goat Anti-Serotonin receptor 3A / HTR3A Antibody
$431.00
| SKU | Unit Size | Price |
|---|---|---|
Select a unit size:
Selected References [{"pmid": 19344720, "intro": "This antibody has been successfully used in ICC/IF in Rat:", "title": "Estrogen rapidly modulates 5-hydroxytrytophan-induced visceral hypersensitivity via GPR30 in rats.", "author": "Lu CL, Hsieh JC, Dun NJ, Oprea TI, Wang PS, Luo JC, Lin HC, Chang FY, Lee SD.", "journal": "Gastroenterology. 2009 Sep;137(3):1040-50."}] |
Documents |


