Formulation Supplied at 0.5 mg/ml in Tris saline, 0.02% sodium azide, pH7.3 with 0.5% bovine serum albumin.
| |
Unit Size 100 µg | |
Storage Instructions Aliquot and store at -20°C. Minimize freezing and thawing. | |
Synonym / Alias Names solute carrier family 5 (sodium/glucose transporter), member 1|sodium/glucose cotransporter 1|Human Na+/glucose cotransporter 1 mRNA, complete cds|SGLT1|NAGT|D22S675|solute carrier family 5 (sodium/glucose cotransporter), member 1|SLC5A1 | |
Accession ID NP_000334.1; NP_001243243.1 | |
Blocking Peptide EBP09310 | |
Immunogen Peptide with sequence C-KETIEIETQVPEKKK, from the internal region of the protein sequence according to NP_000334.1; NP_001243243.1. | |
Product Comments This antibody is expected to recognize isoforms 1 ((NP_000334.1) and isoform 2 (NP_001243243.1). | |
Peptide Sequence C-KETIEIETQVPEKKK | |
Purification Method Purified from goat serum by ammonium sulphate precipitation followed by antigen affinity chromatography using the immunizing peptide. | |
Shipping Instructions Refrigerated | |
Predicted Species Human | |
Reactive Species Human | |
Human Gene ID 6523 | |
Product Grade ![]() | |
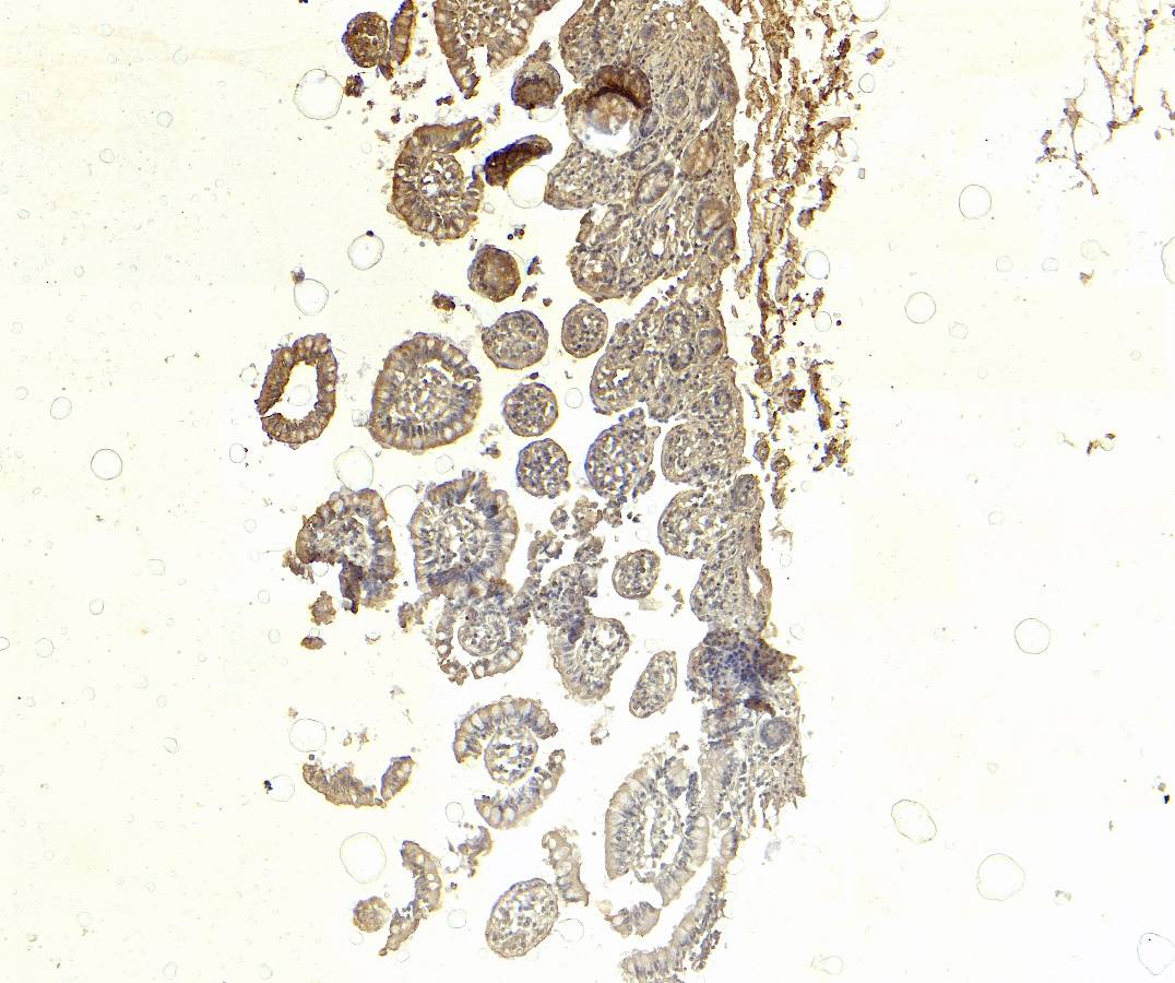
IHC Results Paraffin embedded Human Small Intestine. Recommended concentration: 5µg/ml. | |
ELISA Detection Limit Antibody detection limit dilution 1:32000. | |
Western Blot Preliminary testing showed a band at approx. 60kDa in Human Gall Bladder lysate and in Jurkat cell lysate after 1-3µg/ml antibody staining (calculated MW of 60.1kDa according to NP_001243243.1). Primary incubation 1 hour at room temperature. | |
Application Type Pep-ELISA, IHC |
Goat Anti-SGLT1 Antibody
$431.00
| SKU | Unit Size | Price |
|---|---|---|
Select a unit size:
Selected References [{"pmid": 34198013, "intro": "This antibody (previous batch) has been successfully used in Western blot and IHC on Mouse:", "title": "Aberrant Epithelial Differentiation Contributes to Pathogenesis in a Murine Model of Congenital Tufting Enteropathy.", "author": "Barun Das, Kevin Okamoto, John Rabalais, Jocelyn A. Young, Kim E. Barrett, and Mamata Sivagnanam", "journal": "Cell Mol Gastroenterol Hepatol. 2021; 12(4): 1353-1371."}, {"pmid": 28174043, "intro": "This antibody (previous batch) has been successfully used in Western blot on Mouse:", "title": "Sodium influx through cerebral sodium-glucose transporter type 1 exacerbates the development of cerebral ischemic neuronal damage.", "author": "Yamazaki Y, Harada S, Wada T, Hagiwara T, Yoshida S, Tokuyama S", "journal": "Eur J Pharmacol. 2017 Mar 15;799:103-110."}, {"pmid": 30503674, "intro": "This antibody (previous batch) has been successfully used in Western blot on Mouse:", "title": "Activation of c-Jun N-terminal kinase and p38 after cerebral ischemia upregulates cerebral sodium-glucose transporter type 1", "author": "Yui Yamazaki, Kyoko Arita, Shinichi Harada, Shogo Tokuyama", "journal": "Journal of Pharmacological Sciences (November 2018)"}] |
Documents |


